多学科精准护航,一次手术为96岁高龄患者排除泌尿系统“连环危机”
来源:朱逸琪 发布时间:2025-12-24 14:36:41 浏览次数:1630

近日,苏州大学附属第四医院泌尿外科为一位96岁超高龄患者顺利实施综合手术,一次性解除了其输尿管结石、膀胱多发结石及前列腺增生三大病症,助患者根除泌尿系统“连环危机”,平安康复。

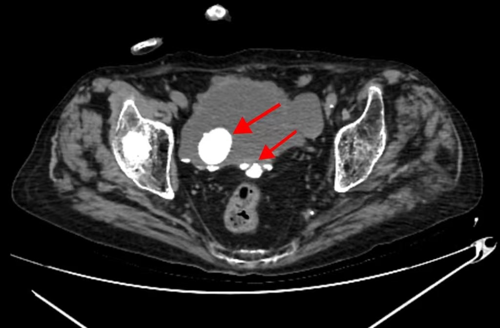
患者杨大爷因“排尿困难1周”入院,同时还伴有腰痛、血尿等症状。术前CT检查提示病情复杂:不仅存在右侧输尿管结石、膀胱多发结石与憩室、前列腺增生,还伴有右肺可疑癌变、冠心病。此外,患者有食管癌根治术手术史、腰椎及髋关节手术史等,叠加患者高龄,令治疗难度增大。

面对如此复杂情况,患者家属心急如焚。泌尿外科沈罡主任医师团队接诊后高度重视,立即组织全院多学科大会诊。呼吸内科、心血管内科、骨科、血管外科与介入科、放射科、麻醉手术科及重症医学科专家共同评估,为老人家量身定制围术期管理方案:调整抗凝策略、改善呼吸功能、优化镇痛与感染控制,并为术中体位摆放、麻醉风险管控等细节做好全面预案。

经过周密的术前准备,在麻醉手术科李健主任医师团队的全程护航下,沈罡主任医师主刀,手术团队依序攻克了三重梗阻:先是向上处理源头,利用输尿管镜精准定位并粉碎了右侧输尿管的结石,解除了肾脏积水的风险;继而通过膀胱镜将膀胱内多枚结石击碎并取出,其中最大直径超过3cm;最后运用经尿道前列腺等离子切除术,将增生的前列腺组织精准剜除,从根本上拓宽了排尿的最终出口。整台手术一气呵成,实现了从输尿管到膀胱、再到前列腺的全程疏通,为患者一次性扫清了泌尿通路上的障碍。

术后,患者转入重症医学科,平稳度过危险期后,次日即转回普通病房。目前患者恢复良好,家属也在患者出院之际向医疗团队表达了感谢。

此次面对96岁高龄、身负多种基础疾病的超高危患者,能够安全、高效地完成联合手术,集中展示了苏大附四院在多学科协作处理复杂病例时的综合救治能力。这不仅是我院泌尿外科技术实力的体现,更是多学科团队精诚合作的结果。我院始终秉持“生命至上”的原则,以精湛的技术、周密的管理和温暖的关怀,为人民群众的健康保驾护航,践行医者的初心与使命。