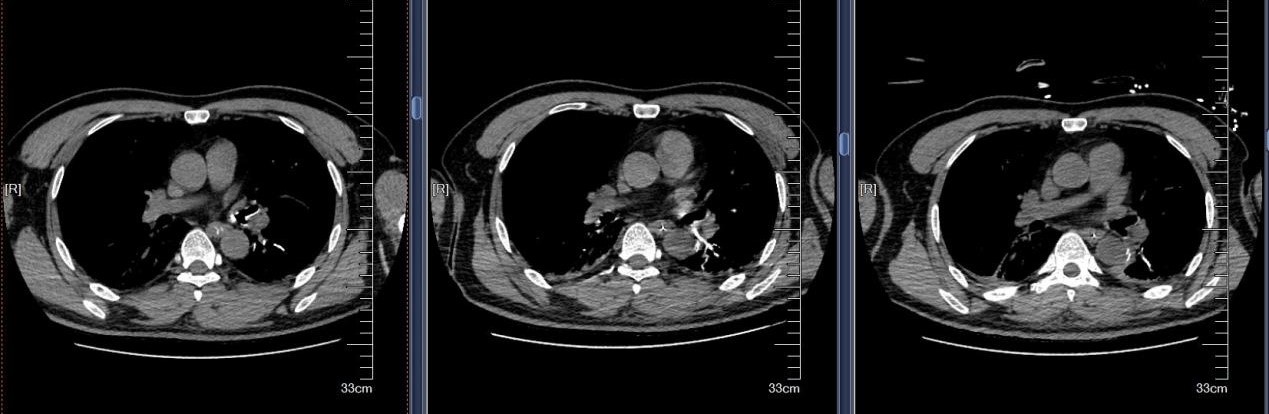
近日,苏州大学附属第四医院成功救治一例极其罕见的支气管异物危机案例。患者是一名48岁男性,因全身被水泥覆盖,伴有意识不清、呼吸困难等危急症状。紧急送医至我院后,CT检查发现其气管和双侧主支气管内充满大量高密度泥沙状异物,同时伴有多发肋骨骨折及腰椎骨折等严重外伤。面对如此复杂的病情,苏大附四院呼吸与危重症医学科蒋军红主任率领团队迅速制定了精准救治方案,成功挽救患者生命。
危机来袭:水泥吸入双重威胁
水泥作为化学性异物,除了造成机械性呼吸道阻塞,还会引发严重的化学性肺炎和呼吸衰竭。患者到院时已出现意识不清、呼吸困难等危重症状,气道清理成为抢救的首要目标。我院蒋军红主任凭借丰富的临床经验和技术优势,带领团队展开了一场与时间竞速的生命营救。



突破难点:多技术联合攻克复杂异物
首次支气管镜清除手术:解决大块异物阻塞。因患者颈部有损伤,未行硬镜置入,在麻醉手术科的密切配合下,为患者经口插入8.5号气管插管,接呼吸机辅助通气,建立稳定的呼吸通道。随后,气管镜顺利进镜,发现气管及左主支气管内充满泥沙样分泌物、黄脓痰及块状异物。随后,实行精准操作:用吸引器清除泥沙样物质及黄脓痰;使用活检钳分次取出左下叶大块石状异物,并配合取石网篮清理;刷检带出细小碎石,并进行多部位生理盐水灌洗,最大限度清除可见异物。

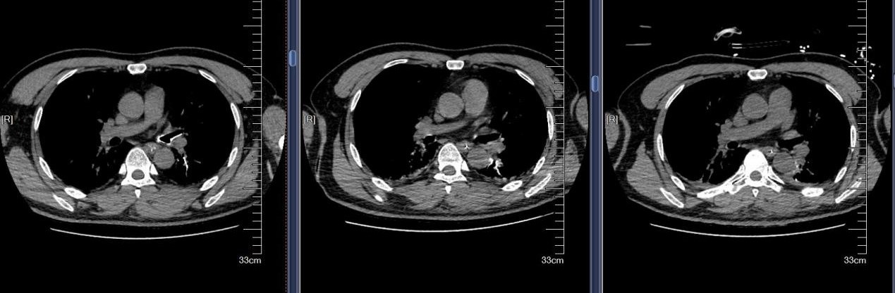
两天后复查支气管镜,发现患者左下叶背段远端细支气管仍有残留泥沙样异物。团队采用超细支气管镜联合冷冻技术,通过冷冻探头将异物凝固,再用超细活检钳逐支清理,实现对远端气道的彻底清理,实现气道“零死角”。

(超细支气管镜见左下叶背段远端支气管泥沙样物质)

(远端支气管治疗后)
化险为夷:技术铸就希望为生命护航
此例患者复杂异物的成功救治,不仅突破传统处理难点,还应用了三大技术创新:1.优先保护气道:使用8.5号气管插管保障通气,同时为支气管镜操作提供充足空间;2.分次清除策略:首次清除大块异物以缓解严重梗阻,二次利用超细镜实现远端精细化清理;3.冷冻技术辅助:针对细支气管的微小泥沙异物,冷冻技术有效避免传统吸引操作导致的黏膜损伤。

经过分次手术清理,患者气道内异物被彻底清除,患者恢复良好,目前已脱离生命危险,呼吸功能逐步恢复。蒋军红主任提醒大家:类似水泥、泥沙等高黏附性粉尘异物,吸入后易引发气道梗阻和化学性损伤,一旦发生意外,务必立即就医并告知医生异物类型,为抢救争取宝贵时间。
作为省级临床重点专科建设单位,苏大附四院呼吸与危重症医学科常规开展支气管镜下异物取出、冷冻/热消融、支架置入等高难技术操作。本次救治案例再次彰显了我院在急危重症救治中的技术实力与创新能力。
如发生异物吸入,请勿自行处理,应立即拨打120紧急求助。苏大附四院将继续以精湛技术和人文关怀,为市民的生命健康保驾护航!