八旬老人高烧不退危在旦夕 急诊ERCP挽救患者生命
来源:马亦凡 发布时间:2025-05-16 11:16:08 浏览次数:3896

85岁的陈大爷发烧2周,起初以为是自己过度劳累,但吃了头孢和退烧药也没有好转,到苏大附四院检查后发现炎症数值超标。医生建议陈大爷住院全科病房,方便进一步检查治疗。陈大爷入院时高烧不退,怕冷、发抖、肚子疼,同时,皮肤和眼睛都有些黄,检查显示胆红素偏高,肝功能超出正常范围好多倍。医生根据这些症状初步判断陈大爷患上急性化脓性胆管炎,而罪魁祸首也在磁共振上显露无遗——胆总管结石。

急性化脓性胆管炎来势汹汹,需要尽快解除胆道梗阻。医生一边采取抗生素控制感染,一边寻求消化内科一同会诊。消化内科李春亮主治医师接到急会诊通知,阅片后立刻到床边看诊,向家属详细介绍了目前解除胆道梗阻的数种治疗方式。最后陈大爷和家属选择了经内镜逆行胰胆管造影(ERCP)。

ERCP是通过将内镜经口插入十二指肠降部,经十二指肠乳头导入专用器械进入胆管或者胰管内,在X射线透视下注射造影剂造影、导入子内镜/超声探头观察,来完成对胆、胰疾病的诊断,并可以通过子内镜进行取石、扩张、放置支架等治疗操作。具有创伤小、恢复快、适用人群广的特点,但同时;但作为一种侵入性操作,也存在一定的风险和并发症,主要包括急性胰腺炎、胆管炎/脓毒血症、出血和肠穿孔等,少见并发症包括低血压、低血氧、空气栓塞等。不过,随着技术的不断进步和医生经验的积累,并发症的发生率已经逐渐降低。

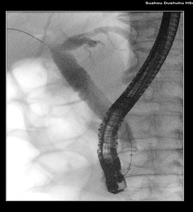
苏大附四院ERCP团队在手术中看到陈大爷的胆总管在结石的影响下已经宽达13mm,结石大小11*10mm,将十二指肠乳头切开并扩张后用取石球囊把结石取出,置入胆管支架使胆汁充分引流,顺利解除了胆道梗阻。


扩张取石

取石前

手术后陈大爷恢复得很快,第二天就可以半流质饮食了,抗生素使用也逐步降级,不久便出院了。消化内科严海荣副主任医师介绍,急性化脓性胆管炎是一种由胆道梗阻合并细菌感染引起的严重胆道感染性疾病,病情凶险,进展迅速,如未及时处理将导致脓毒血症、多器官衰竭甚至死亡。临床表现为Charcot三联征,即腹痛、高热寒战、黄疸。严重者出现Reynolds五联征,即三联征+休克+意识障碍。治疗方面除纠正休克、器官功能支持外,最关键为控制感染及解除胆道梗阻。解除梗阻的主要方式包括经内镜逆行胰胆管造影(ERCP+取石/引流、经皮肝穿刺胆道引流(PTCD)、外科手术。

未来,苏大附四院消化内科将继续在急性化脓性胆管炎等复杂胆道疾病的诊治上深耕细作,提高手术成功率,降低并发症风险。同时,加强多学科协作,为患者提供全方位、个性化的治疗方案,为患者提供更优质的医疗服务,为生命健康保驾护航。