苏州大学附属第四医院骨科团队在姜为民主任的指导下,由杨小海主任医师主刀,顺利开展了我院首例骨科机器人辅助下的全膝关节置换术(RA-TKA)。
患者杨阿姨右膝疼痛已持续7年之久,近6个月来病情明显加重,严重影响日常生活。巧合的是,杨阿姨的亲属曾在21年前因为同样的疾病经姜为民主任诊治后完成过膝关节置换术,至今功能仍然良好。鉴于亲属的经历,杨阿姨此次慕名找到姜为民主任。姜主任仔细了解病情并综合评估后判断杨阿姨膝关节大量骨赘增生,关节间隙狭窄,需要接受关节置换手术。
经过详尽的术前检查,姜为民主任与杨小海主任等关节外科专家讨论后决定采用目前更为先进的机器人辅助关节置换术。手术在姜为民主任的指导下由杨小海主任医师主刀。杨主任专注耕耘关节置换与运动医学领域20余年,擅长髋、膝、肩关节置换及关节镜微创技术,曾率先开展院内首例肩关节置换与微创肩关节盂唇修复手术。与传统的关节置换手术不同,机器人辅助手术需要先行标识与注册,再规划,然后根据规划的路径进行精准的截骨。
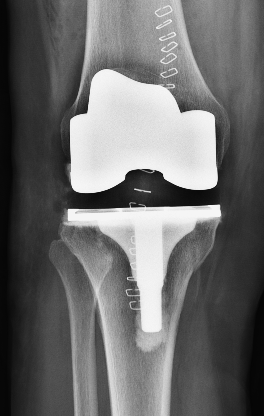
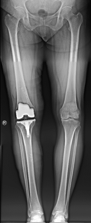
术后次日,患者杨阿姨即在医生指导下进行床旁行走训练,膝关节活动度逐步恢复。杨小海主任医师介绍,全膝关节置换术通过置换磨损的关节表面(类似“换保护套”),可显著改善因关节退变、软骨磨损导致的疼痛,患者术后很快即可恢复日常生活。本次所采用的骨科手术机器人辅助手术,通过三维影像精准规划截骨平面,术中实时调整截骨角度,相较于传统手术,可提升截骨的精准度与假体安放的精确性,缩短手术时间,减小创伤,降低术后并发症风险。杨阿姨术后复查X片显示膝关节假体位置良好,下肢力线合适。


苏大附四院骨科作为江苏省临床重点专科,已持续开展了大量骨科疑难复杂手术,包括上颈椎疾患、脊柱畸形矫形、关节翻修、微创运动医学等。其中,机器人辅助骨科手术是苏大附四院骨科的特色技术,代表了当前外科手术精准化、微创化、智能化的发展方向。此次RA-TKA手术成功实施,标志着苏大附四院骨科关节置换手术进入了新的阶段。未来,苏大附四院骨科将继续探索机器人手术与快速康复体系的深度融合,为更多骨关节疾病患者提供高效、安全的诊疗服务。