咳嗽一月余,发热加重两周,辗转诊疗背后,隐藏着怎样的“秘密”。面对合并多种基础疾病、麻醉风险极高的患者,苏大附四院呼吸内科团队以精湛技术与充分术前预案,上演了一场与气管异物的较量,最终让困扰患者许久的“罪魁祸首”无所遁形。
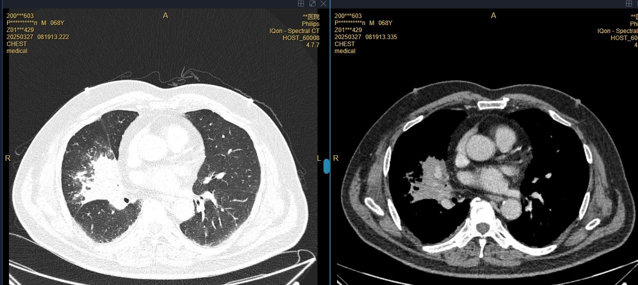
患者彭先生,因咳嗽一月余,加重伴发热2周入院。1月前出现咳嗽,较剧烈,伴有明显呛咳,患者未予重视;2周前咳嗽症状较前加重,伴咳较多黄浓痰,呛咳明显,咳嗽后胸闷气急较前加重,遂至外院就诊,查胸部CT示右肺中叶炎症,心脏增大。入院后余抗感染治疗后仍有反复发热,复查增强CT右肺中叶不张伴阻塞性肺炎,较前明显进展。3月28日在外院行支气管镜检查,见右肺中叶异物堵塞管腔,住院期间多次尝试取出异物,却因种种困难未能成功。回顾病史,患者不仅有脑梗塞、高血压等基础疾病,还曾经历颅脑外伤、腰椎手术、气管切开术,既往手术麻醉后出现谵妄,麻醉风险极高,为手术增添了重重阻碍。
面对这样棘手的案例,苏大附四院呼吸内科蒋军红主任团队迅速启动多学科协作。术前全面评估患者状况,针对麻醉风险组织麻醉科等专科会诊,制定个性化麻醉方案。同时,准备硬镜、冷冻设备等,并规划支气管镜活检钳、异物网篮等多种取异物策略,确保手术每一步都顺利进行。
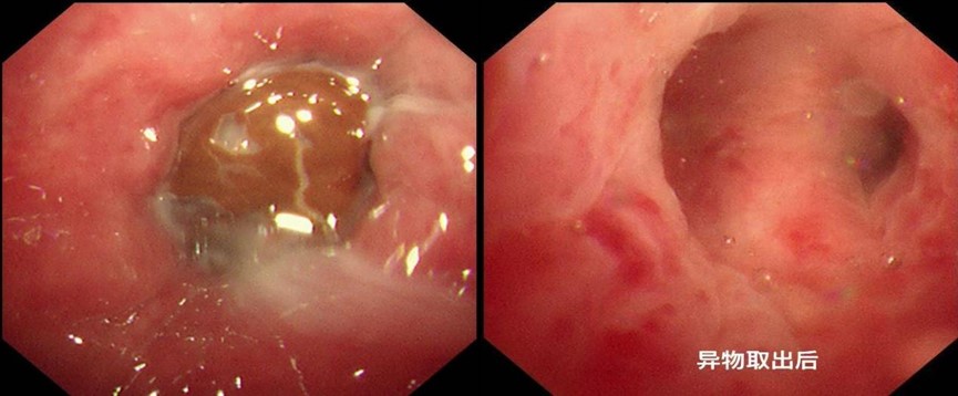
手术当日,苏大附四院多学科团队紧密配合。麻醉科精准调控麻醉深度,在保障患者安全的同时,为手术创造良好条件。蒋军红、曾大雄主任熟练操控气管镜,气管下段气切口位置呈刀鞘样改变,镜下发现堵塞右肺中叶气管的“真凶” 竟是一颗红豆,周围黏膜充血水肿严重。
凭借丰富经验,团队通过活检钳和异物网篮钳取异物后,成功将滞留月余的异物取出,并见大量脓性分泌物溢出。随着气道恢复通畅,这场与异物的“博弈”终于顺利收官。
术后,彭先生咳嗽症状明显减轻,肺部感染逐步控制,恢复情况良好。他表示,没想到咳嗽这么久,罪魁祸首竟是一粒红豆,感谢苏大附四院医护人员为我制定如此精密的治疗计划,这块堵在心头的“石头”终于落地了。

蒋军红主任表示,支气管异物常见于儿童及存在呛咳风险的人群,反复咳嗽、发热经常规治疗无效时,需警惕异物可能。苏大附四院呼吸与危重症医学科依托先进设备与硬核技术,为支气管异物等危急病症提供精准诊疗,守护每一次顺畅呼吸。
此次救治,不仅展现了苏大附四院呼吸团队应对复杂病例的专业能力,更诠释了多学科协作的力量。蒋军红主任团队以气管镜技术为核心,联合麻醉科,成功化解高风险难题。未来,苏大附四院呼吸与危重症医学科将继续秉持专业精神,以创新为动力,以责任为基石,为患者提供更优质的医疗服务,为呼吸健康保驾护航。