2022年,当时74岁的王女士因不慎跌倒导致右股骨颈骨折,经推荐来到苏大附四院骨科进行治疗。经过详细评估,杨小海主任团队为王女士施行了全髋关节置换术,在医护人员的精心照料下,配合个性化康复方案,王女士术后两天便重新站立行走。
然而在2025年春节期间,王女士在商场搭乘手扶电梯时不慎摔倒,出现右髋疼痛,肢体活动受限,家属陪同王女士再次来到苏大附四院就诊,检查结果显示王女士此次外伤导致了右侧髋关节假体周围骨折,且假体已经松动。此类关节置换术后的假体周围骨折伴松动是骨科公认的棘手难题,要解决这个难题的最佳办法是施行翻修手术。与初次手术不同,翻修手术难度与术后并发症的发生率都要高得多。姜为民主任和林俊主任对患者王女士此次髋关节翻修手术十分重视,与杨小海主任一同进行了术前的讨论,制定了详细的手术方案。手术当天,在麻醉手术科的积极配合下,杨小海主任团队顺利完成了本例髋关节翻修术。
王女士二次受伤后影像检查提示假体周围骨折
杨小海主任表示,假体周围骨折翻修具有相当大的难度,既要处理失效假体,又要最大限度保证术后内固定和假体的稳定,还要保证关节不会脱位,兼顾术后康复锻炼。此类手术需同时解决骨折复位、假体稳定性重建和骨缺损修复三大难题。得益于苏大附四院骨科近年来在髋关节外科领域积累的丰富经验,手术非常成功,为患者未来的生活质量提供了保障。
杨小海主任团队为患者实施髋关节翻修术
术后,患者王女士在苏大附四院骨科医护人员的指导下进行康复锻炼,王女士表示自己感到恢复状态良好,手术切口也不怎么痛,术后5天已经顺利出院。患者王女士感慨道:“这三年里两次受伤,多亏苏大附四院骨科医生们的帮助,才得以渡过难关,大家都信任你们。”老人家这番朴实话语,正是苏大附四院骨科发展成果的生动注脚。


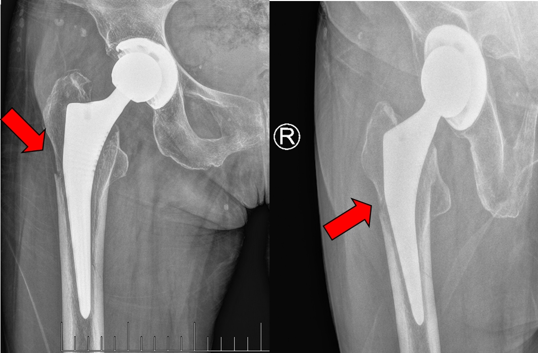
翻修术后摄片提示骨折复位满意,内固定在位
在过去的一年中,苏大附四院骨科被认定为“江苏省临床重点专科”和“苏州市临床重点专科”,在门急诊量、手术人次以及手术质量等各项指标上的服务量都实现了稳步提升。
骨科主任姜为民表示,科室创立以来,每年都有里程碑式的进步,获评江苏省临床重点专科不是终点,而是新的起点,苏大附四院骨科将全力参与到医院创“三甲”的行动中。科室近年来引进有骨科手术机器人、二代O臂机等大型尖端设备并逐步开展了“无痛病房”、“日间手术”等便民举措,在亚专科方面,以脊柱外科为龙头,大力发展关节外科,创伤骨科,运动医学及各类微创手术,造福众多的患者。苏大附四院骨科将不断努力,提高自身综合素质,以精湛技术和人文关怀,为患者的骨健康筑起坚实屏障。