生死时速!多学科联手化解高龄患者声门 “梗阻危机”
来源:王兰 发布时间:2025-02-24 14:09:00 浏览次数:5337

219号,苏州大学附属第四医院呼吸与危重症医学科、耳鼻喉科、麻醉科MDT团队凭借高超医术与紧密协作,成功为一位83岁高龄患者化解了声门巨大肿物引发的生命危机。

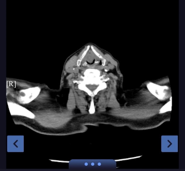
回溯病情,严老先生的求医之路充满波折。半年前,他无明显诱因出现声音嘶哑,在外院耳鼻喉科行喉镜检查未见异常,因而未引起足够重视。然而,病魔并未就此止步。1个月前,胸闷气急伴随着咳嗽咳痰症状悄然袭来,且在身体活动之后愈发严重。在外院接受住院抗感染治疗,病情却未得到有效控制。直至一周前,症状急剧恶化,夜间无法平卧,静息状态下不能耐受,短期体重下降15kg。患者及家属慕名来到苏大附四院蒋军红主任专家门诊,蒋主任凭借丰富的临床经验及精湛的医术,迅速判断出患者可能存在大气道狭窄,急诊完善颈胸CT证实了临床推断——巨大声门肿物伴大气道狭窄。

    

患者声门处的巨大肿物如同高悬的达摩克利斯之剑,随时可能引发呼吸困难,危及生命。蒋军红主任带领下的医疗团队迅速启动多学科协作机制,团队成员争分夺秒地推进术前准备工作,紧急邀请耳鼻喉科宋升桥主任医师、麻醉科李健主任医师协同开展联合诊疗。多学科专家凭借深厚的专业积淀,从患者心肺功能储备、肿物血运分布及毗邻组织关系、气道管理风险等多维度展开全面且精细的术前评估,围绕每一种可能出现的情况深入研讨,迅速且细致地做好气管切开准备,确保在关键时刻能够迅速、高效开展操作。并制定出一套精准而周密的治疗方案:首先选择喉罩全麻但需保留自主呼吸的情况下行支气管镜检查,切除一部分肿瘤组织,为气管插管奠定条件。

 

手术室内,气氛紧张而凝重。当支气管镜顺利进入,眼前的景象令人揪心:声门处管腔狭窄程度高达95%,巨大的白色肿物如同巨石般堵塞其中,表面光滑却质地坚硬。医疗团队沉着应对,先予圈套器多次圈套电切治疗,同时进行活检,样本送检常规病理。在精细操作下,声门得以部分暴露。在李健主任带领下的麻醉团队支持配合下,气管插管辅助通气。后续耳鼻喉科宋升桥主任凭借其深厚的专业功底,在支撑喉内镜下行喉部肿瘤等离子切除术。每一次操作都精准无误,每一个步骤都紧密衔接。在团队的共同努力下,肿物被逐步、分段切除,声带及喉室得以充分暴露,术后喉空间完全开放,管腔恢复通畅,如同被疏通的河道,重新恢复了生机,同时,凭借团队精湛的医术与充分完善的术前准备,避免气管切开带来的痛苦。术中患者生命体征始终保持稳定,术后患者呼吸明显顺畅,当晚便酣然入睡,目前患者正在住院恢复当中。

 

此次成功救治,不仅是对我院多学科协作能力的一次全面检验,更是团队精湛医术与无畏担当的生动例证。从病情的准确判断到治疗方案的精心制定,从手术中的默契配合到术后的严密监护,每一个环节都凝聚着医护人员的心血与智慧。这一案例也为临床诊疗提供了宝贵的经验,对于老年患者呼吸道症状的隐匿性与复杂性,需时刻保持高度警惕,及时完善检查,确保早发现、早诊断、早治疗。未来,苏州大学附属第四医院呼吸与危重症医学科将继续秉持“以患者为中心”的理念,不断提升医疗技术水平,强化多学科协作机制,在守护患者健康的道路上砥砺前行,为更多患者带来生的希望与曙光。


苏州大学附属第四呼吸与危重症医学科是苏州市重点学科、省重点专科建设单位,具有独立的呼吸内镜中心、肺功能室、睡眠多导监测室。目前拥有主任医师3人,博士生导师1人,硕士生导师3人。科室团队目前熟练掌握呼吸内镜核心技术包括:EBUS-TBNA、气道激光治疗术、氩气刀治疗术、冷冻治疗术、球囊扩张术、金属/硅酮气道支架置入术、硬质气管镜术、导航支气管镜术、经皮肺穿刺术、内科胸腔镜术等,并掌握了经皮放射性粒子治疗、经皮肿瘤消融治疗、经支气管镜纵膈淋巴结放射性粒子植入治疗等。

科室人员主持国家自然科学基金、江苏省重点研发项目、江苏省科教兴卫青年医学重点人才项目、苏州市科技局项目等多项;发表第一作者/通讯作者SCI论文40余篇(含1/2区论文10篇);获得教育部科技进步二等奖、华夏医学科技三等奖、江苏省新技术引进一等奖及二等奖、江苏省医学科技三等奖、苏州市科技进步三等奖等多项荣誉。