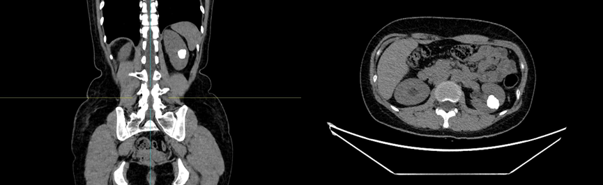
家住苏州的薛女士十年前因某次事故意外入院,在做CT检查时发现检查报告结果中赫然写着“左肾结石”四字。起初,她认为这只是一种常见疾病,更何况自己并没有觉察出明显的不适症状,同时考虑到自己每年都有例行的常规体检,随访观察也未尝不可,便未急于就医。但近年来,一次次的体检结果不断提示,结石的数量、范围都在逐年进展,令她心生焦虑。可对疾病的畏惧、对手术创伤的忌惮却一次又一次地拖住她了就医的步伐。终于,在家人的关怀与陪伴下,她鼓起勇气,选择来到了苏州大学附属第四医院泌尿外科浦金贤主任的专家门诊。浦主任耐心询问患者病史,考虑其诊断为一种特殊类型的肾结石——肾盏憩室结石。

入院后患者完善了相关的术前检查,浦金贤主任与周守军主任全方位评估了患者情况,为薛女士的病情“量身打造”手术方案。考虑到结石类型特殊,常用的内镜手术虽可经自然腔道完成,但可能难以做到完全清石,对患者而言,残留的石头在未来仍可能继续肆意发展,好比一颗“定时炸弹”。
“我们准备采用微创的手术方式,尽最大的努力将结石悉数取出,同时将未来复发的风险降到最低。”浦主任坚定的话语无疑给了患者一颗“定心丸”。相较于内镜手术而言,腹腔镜手术在兼具微创的基础上,能够更大程度地将结石完整取出,对薛女士而言是相对更合适的手术方案。浦金贤主任带领手术团队明确分工、默契配合,顺利完成手术,完整取出结石共计四十余枚。通过对“小切口”的妙用,不仅取出了困扰薛女士多年的“大结石”,更是消去了患者多年来被疾病所困扰的那颗心中“顽石”。
肾盏憩室结石
肾盏憩室结石是一种泌尿系统疾病,通常发生在肾脏的憩室内。憩室指的是肾脏皮质或肾盏的局部膨出,形成的小型囊状结构。其内因尿液滞留,容易形成结石。这类结石可能引发肾绞痛、尿路感染甚至肾功能损害。临床表现常为腰痛、尿频、尿急等症状,若结石较大,可能导致尿路梗阻。影像学检查如CT或超声可帮助诊断。在治疗方法上主要包括药物治疗、体外冲击波碎石及手术治疗等。在日常生活中,保持充足的水分摄入,预防尿液浓缩,有助于降低结石形成风险。同时,定期体检和早期干预对于延缓疾病进展起到了至关重要的作用。
专家介绍
浦金贤
简介:主任医师、副教授,博士生导师,医学硕士,泌尿外科主任。
擅长:微创技术(腹腔镜和内镜)治疗肾肿瘤、膀胱肿瘤、肾上腺肿瘤、泌尿系结石、前列腺疾病、肾移植等治疗。
个人介绍:从事泌尿外科临床、教学和科研工作30余年,在泌尿外科领域中对肾肿瘤、膀胱肿瘤、肾上腺肿瘤、泌尿系结石、肾移植和前列腺疾病等都有良好的诊断和治疗经验。重视临床实践,临床思维活跃,务实求进,手术技巧娴熟。在长期的医疗实践中,医德高尚,服务热情,多次获得白求恩杯先进个人奖。以第一或通讯作者发表核心期刊和SCI收录论文30余篇,参编专著2部。曾获江苏省卫生厅新技术引进奖和苏州市科技进步奖,近年来培养研究生数十名。主持和主要参加国家自然科学基金重点项目、江苏省卫生厅科研项目和苏州市科教兴卫项目等多项课题。现任江苏省医学会泌尿外科分会副主任委员,江苏省医师协会男科学分会副主任委员,江苏省泌尿外科医疗质控委员会副主任,苏州市泌尿外科学会副主任委员,苏州市男科学分会主任委员,苏州市医学会器官移植专业委员会主任委员。
周守军
简介:主任医师,硕士生导师,医学博士。
擅长:擅长泌尿系结石、肿瘤及前列腺疾病的诊治。
个人介绍:从事泌尿外科工作20余年,临床思维活跃,临床经验丰富,擅长应用双镜联合(输尿管软镜,经皮肾镜)处理复杂肾结石;全面掌握腹腔镜、机器人辅助腹腔镜前列腺癌根治术、复杂肾肿瘤肾部分切除术、全膀胱根治性切除+淋巴结清扫+原位新膀胱术、肾盂输尿管成形术、输尿管膀胱再植术、前列腺剜除术等。现任中国产学研合作促进会泌尿外科医学专家委员会全国委员;江苏省医师协会泌尿外科分会第三届委员会结石组委员;苏州市医学会泌尿外科分会青年委员。主持市级课题两项,发表SCI论文多篇。