近日,苏州大学附属第四医院骨科运用科室独创的专利枢椎椎弓根螺钉内固定双头加压螺钉,成功为一位92岁高龄的患者实施了颈椎Hangman骨折的微创内固定手术。这一手术的成功实施不仅帮助患者解除病痛困扰,也再次彰显我院骨科在上颈椎微创手术领域的技术实力。
家住张家港的朱阿婆今年已92岁高龄,在家中洗澡时不慎摔倒,当时就感觉颈部疼痛伴活动受限,被家人送至当地医院。经过当地医院检查,朱阿婆被诊断为第二颈椎(C2枢椎)创伤性骨折脱位,也被称为Hangman骨折,是上颈椎骨折中较为严重的类型。如何治疗是一个非常棘手的问题:常规的开放手术创伤大,风险高,家属也不愿意接受;如果采取保守治疗,又要耐受6~8周的卧床牵引,这对92岁高龄的朱老太太同样具有非常大的风险。
当地医院的骨科医师了解到我院姜为民主任正在进行针对此类骨折的临床研究,掌握有独特的微创手术技术,建议家属转至苏州大学附属第四医院治疗,家属了解后当即同意转送至我院就医。姜为民主任详细评估了患者情况,判断患者适合科室正在临床研究的技术:骨科机器人辅助下新型枢椎椎弓根专用螺钉内固定微创治疗Hangman骨折。

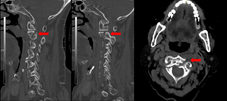
CT重建提示骨折同时合并一侧椎弓根先天性发育性狭窄
入院完善术前检查后,骨科姜为民主任团队在骨科机器人的辅助下,精准而迅速地置入了两枚由团队设计的枢椎椎弓根专用拉力螺钉,仅留下两个不足1cm的切口。手术过程顺利,手术时间仅38分钟。患者术后第一天就可以佩戴颈托下床行走,第二天即可出院回家休养。
骨科手术机器人术中精准规划置钉
术后复查提示骨折复位,置钉精准
C2颈椎形态特殊,周围血管神经等组织结构复杂,且常存在解剖变异,因此Hangman骨折的手术治疗具有较大的难度。通常采用的术式是经前路的C2-C3椎间融合术与经后路的椎弓根内固定术。无论哪种术式都存在明显的缺点:前路手术显露困难,易损伤血管神经且需要牺牲C2-C3的活动度;后路内固定手术软组织损伤大,出血多,术后常出现颈部僵硬不适等轴性症状的后遗症,且缺乏理想的内固定螺钉。
|
|

姜为民主任团队设计的新型枢椎椎弓根专用螺钉
姜为民主任在临床实践中根据现有手术方案存在的不足开展针对性研究十余年,设计了一种专用于治疗Hangman骨折的枢椎椎弓根螺钉内固定双头加压螺钉,并且成功申请专利。枢椎椎弓根螺钉内固定手术被称为“生理性重建”,这种全新的螺钉有效克服了现有螺钉的缺点,目标是实现经皮微创手术。在开放手术、“O”臂机导航、红外线导航直至如今的机器人辅助技术,着实可谓是十年磨一剑!该项专利技术获得了江苏省医学新技术引进一等奖,再辅以我院骨科第二代骨科手术机器人,术中规划C2两侧椎弓根螺钉进钉路径和螺钉规格,确定方向和角度,真正做到安全,精准,快捷,微创,智能。
第二代骨科手术机器人及“O”臂影像系统
苏州大学附属第四医院骨科开科以来,在姜为民主任的带领下已经广泛开展各种骨科疑难疾病的诊疗,特别在上颈椎疾患的诊治方面尤为突出。在包括Hangman骨折、齿状突骨折、寰枢椎发育畸形等多类上颈椎疾患诊治方面积累了丰富的临床经验,开展了一系列卓有成效的开创性的工作。苏大附四院骨科也将继续依托苏州大学的平台优势、工业园区的区位优势,借助骨科手术机器人、“O”臂机等先进的医疗设备,持续开展更多创新性的微创手术。让先进科技成果能够真正地造福广大患者,认真诠释骨科快速康复的学科理念,努力实现骨科手术精准、微创、智能化的远景目标!