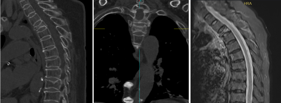
今年85岁的丁老太10天前在家里不小心摔了一跤,当即感到胸背疼痛不适,在家卧床休息数天仍不见好转。由于有过类似经历,丁老太之前摔跤后在当地医院做过椎体注射“骨水泥”的手术,且效果良好,于是家属想着大不了再打一次“骨水泥”就好了。随即到先前的医院检查,确诊是脊柱压缩性骨折,但与以往不同的是,这次是第三胸椎骨质疏松性压缩性骨折。第四胸椎以上由于位置特殊,手术操作难度大、风险高,通常是不做“骨水泥”手术的。当地医院的医生建议老太回家卧床休息保守治疗。随后患者和家属辗转就诊了几家医院,得到的建议都是保守治疗。难忍的疼痛及无法起床使老人陷入了绝望之中。

在多方打听后,抱着一线希望,丁老太家属带着患者来到了苏州大学附属独墅湖医院骨科姜为民主任的诊室。在充分了解丁老太的病情及诉求后,姜主任建议患者再次行椎体强化术。一家人经历了由绝望到希望的过程,但同时难免也有一丝担忧,因为此前的几位专家都告知他们无法手术。面对丁老太的难题,姜主任的自信不仅来自他多年积累的手术经验,还有我院新引进的第二代国产手术机器人的辅助。

第二代国产骨科手术机器人是一种高精度的骨科手术辅助系统,通过导航定位和精确的机械臂操作,可以帮助医生在手术中实现精确定位和准确操作,从而提高手术的成功率和安全性。此外,手术机器人还具有减少术中辐射、提高手术效率、减少手术时间和术中出血量等优势。同时,它通过精确的导航和定位,减少术中X射线的使用,降低医生和患者的辐射暴露风险。

丁老太入院第三天,姜主任在骨科主治医师蒋伟刚的配合下,成功为其实施了机器人辅助下经皮椎体球囊扩张成形术。术后第一天,患者可以下地活动,疼痛消失;第二天即出院,整个住院时间仅6天,真正做到了术后快速康复!丁老太的女儿感慨道,庆幸有独墅湖医院骨科姜主任和他的团队的出手相助,再加上手术机器人辅助,才帮助老人家过了这一关!

椎体强化术是治疗骨松性椎体压缩性骨折的有效手术方法,其中使用最多的是椎体后凸成型术,简称PKP术。随着科技的进步,过去通常无法实施的部位也可以施行该手术。手术效果立竿见影,这一技术使许多老年患者摆脱了难以忍受的痛苦,挽救了他们的生命。