国内首家!我院成功实施苏州首例PSMA靶向荧光造影下术中实时导航前列腺根治性切除+盆腔淋巴结清扫术
来源:李鹏 发布时间:2023-12-01 18:02:00 浏览次数:4897
  近日,苏州大学附属独墅湖医院泌尿外科成功开展苏州首例PSMA靶向荧光造影下术中实时导航前列腺根治性切除+双侧盆腔淋巴结清扫术,患者术后恢复良好,肿瘤切除彻底,术后尿控恢复佳。

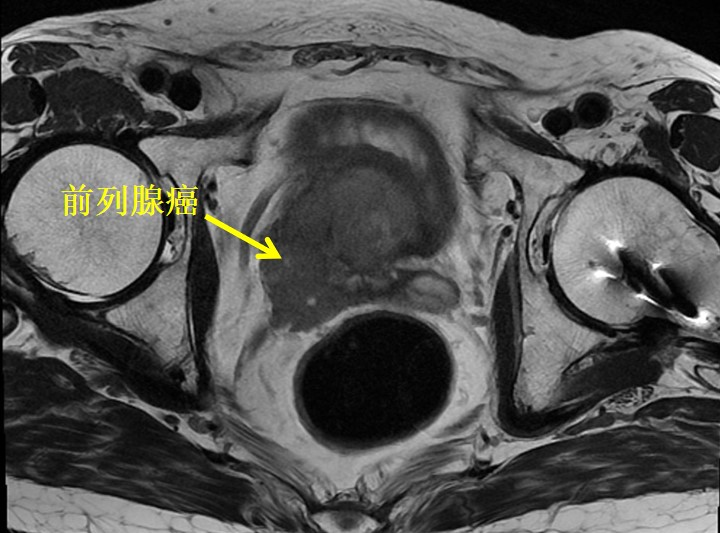
  患者为60岁男性,体检时发现PSA升高,指标>100ng/ml。一周后,慕名从浙江至我院浦金贤教授专家门诊就诊。磁共振提示:前列腺中央带腺体及外周带前列腺癌,建议穿刺活检,盆腔左侧淋巴结增大。我院穿刺病理提示:前列腺腺癌,Gleason分级评分4+4=8分,双侧受累。患者PSA升高明显,磁共振下显示盆腔淋巴结肿大,考虑肿瘤负荷较高,预后不佳。浦金贤教授决定行腹腔镜下根治性前列腺切除+盆腔淋巴结清扫术,力求彻底切除肿瘤,提高远期生存。


  前列腺癌是中老年男性常见的恶性疾病,局限性前列腺癌首选手术切除,可达到根治效果。但前列腺癌患者大多为中老年病人,常有多种合并症,手术治疗有较大风险。研究发现前列腺癌根治术后肿瘤切缘阳性率达6%-50%并且与生化复发有关。如何在术中精准实时定位前列腺癌病灶是目前一大难题。目前研究聚焦于肿瘤特异性的荧光造影剂成像技术下术中实时导航手术,术中实时精确区分肿瘤组织和正常组织。研究发现,PSMA在前列腺癌细胞表面过表达,目前已经被用于前列腺癌正电子发生断层成像(PET-CT)和术后治疗的靶点。国外已有靶向PSMA的荧光造影剂用于前列腺癌患者的荧光导航手术,在手术中可显著增强前列腺癌原发灶、手术切缘、切缘残余癌灶和淋巴结转移灶的可视性,其安全性和可行性得到证实,目前国内尚无相关应用报道。

  我院浦金贤教授团队,应用DGPR-1008(一种靶向PSMA的荧光造影剂,目前为临床试验阶段),术前静脉注射,荧光造影剂靶向定位至肿瘤病灶及转移淋巴结位置,多余造影剂经尿液代谢排出体外;术中开启近红外荧光模式后,前列腺癌灶、转移的淋巴结以及肿瘤侵犯转移的其他组织都会因结合了荧光造影剂而产生荧光,使得主刀医生能显著将其与周围正常组织区分开来,进而达到肿瘤彻底、精确、完全的切除。


  浦金贤教授提醒广大中老年男性,前列腺癌在我国发病率迅速上升,特别在经济发达地区,其发病率增加更加明显。早期进行PSA筛查、早期外科干预可以显著提高远期生存及生活质量。独墅湖医院泌尿外科作为国内首家应用PSMA靶向荧光导航手术技术平台的泌尿外科中心,该平台的成功应用使前列腺癌根治具有了“靶向+微创”的特点,手术更加安全、精确、损伤更少、恢复更快,也将造福更多的前列腺癌患者。