经过我院马海涛主任治疗团队评估病情后,决定为吴先生在全麻下行右上肺肺段切除术。因为吴先生右上肺的结节较小(约8mm),位于右上肺后段,马海涛主任治疗团队决定在行Cios Spin移动式C臂引导下激光导航定位肺结节+VATS肺手术,以快速精准地切除病灶。
术前胸部CT
手术当天中午,患者进入手术室,进行常规气管插管全身麻醉。在进入麻醉状态后,患者取右侧卧位,在右上肺病灶的后背投影处粘贴CT快速引导垫。
定位前扫描三维
激光导航定位
再次扫描,评估定位情况;摆放体位,消毒,开始手术;右上肺后段切除后,切开病灶,可见病灶与定位点毗邻,术中快速病理示右上肺结节为微浸润腺癌,手术顺利,患者安然返回病房。
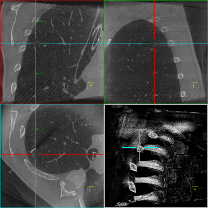
定位后扫描三维
定位针与病灶位置
我院使用的移动式C臂是在全球推出的新一代可移动式C臂CT系统,集C臂和CT功能于一身,可以即时且方便的快速移动到所需手术的房间内。具有占地小、移动灵活、扫描时间短、效率高、精准度高的特点。同时术中CT图像成像质量高,适合4毫米以上肺小结节及肺实质等软组织CT成像;而且辐射剂量低,仅为传统CT的1/8。目前该系统已被美国MD Anderson癌症中心,约翰霍普金斯大学医院,克利夫兰诊所等世界顶级医疗机构引入,用于“一站式”肺小结节的介入诊疗。使用移动式C臂CT术中对肺小结节患者进行术中CT扫描,显示结节,引导置入定位针,不出手术室,即可完成"一站式"肺结节定位及精准切除。避免患者在CT室和手术室间来回奔波,消除了清醒状态下的穿刺痛苦,也大大降低了出血、气胸等并发症的发生机率。

另外使用的激光导航定位系统,辅助医生进行肺结节定位、穿刺等操作流程,使得肺结节经皮穿刺更简单、更安全、更快捷。