去年,家住昆山的金先生走路的时候不慎摔倒,下颌撞击硬物后感到颈部疼痛难忍,到当地医院查CT显示:(枢椎)齿状突骨折,骨折块向椎管方向移位。齿状突骨折属于上颈椎,位于头颅和颈椎的交界区域,是连接生命中枢的要塞,解剖结构复杂,有椎动脉和中枢神经从中穿过,稍有不慎就会引起大出血、瘫痪、甚至立即死亡。这类手术属于上颈椎手术,曾一度被视为骨科的手术禁区,国内仅有少数医院能够开展这一类手术,一般医师不敢轻易尝试。在业内医师的推荐下,家属送金先生来到了苏州大学附属独墅湖医院,找到了姜为民主任。
接诊后得知,金先生还患有强直性脊柱炎多年,这种疾病直接的后果是脊柱强直如棍棒,骨质变脆易骨折,被冠名以“不死的癌症”。姜主任详细了解金先生的病史后,认为该患者的治疗关键在于以下三个方面:一是脊柱强直,手术部位的位置深难以显露,解剖复杂。二是C2、C3左侧椎弓根发育异常狭小,置入椎弓根螺钉困难。三是齿状突骨折向后方移位明显,通常向前脱位较为常见复位也较容易,此种脱位的复位具有较大的难度和损伤脊髓的风险,对于术者而言是个巨大考验。

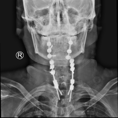
金先生伤后第7天,姜主任医师团队在麻醉手术科的密切配合下成功为他实施手术。姜主任凭借多年徒手置钉的过硬技术经验,2小时不到便完成了手术,术中出血仅100ml。术后CT显示齿状突完美复位,螺钉“不偏不倚”的位置恰到好处。术后,金先生在骨科护士长张霞芬护理团队的精心护理下,15天后伤口拆线康复出院。
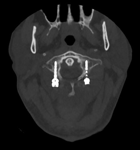
第一步是先从颈椎后方入路,使用手术器械将骨折脱位复位,然后用螺钉固定;第二步是待患者恢复一段时间后再行前路手术。这个术式的难点在于强直性脊柱炎患者有严重的骨质增生表现,解剖标志不清,置钉有难度;其次,CT显示后方关节突交锁,复位困难。姜主任再次凭借多年手术经验,在二代0臂机的保驾护航下,成功地将螺钉置入椎体内,手术历经3小时。术后,金先生的右侧肢体偏瘫有了明显改善,2周后出院。
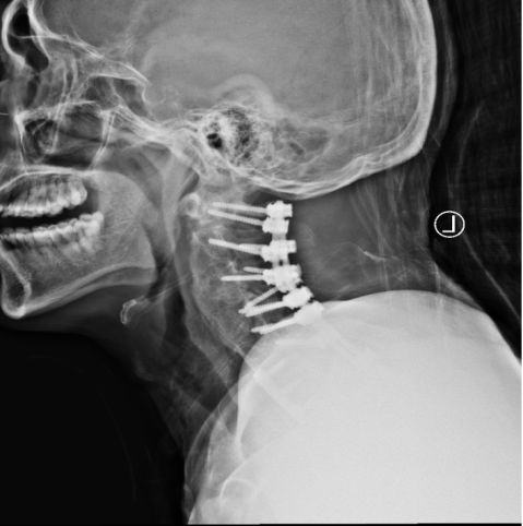
一个月后,金先生迎来了他的第二步的手术:颈前路植骨融合固定术。手术很顺利,1周后,金先生出院。出院前金先生的妻子王女士眼含热泪跟床位护士袒露心声:“我们很信赖姜主任和独墅湖医院骨科,是独墅湖医院给了我家先生两次生的机会。我们全家衷心感谢你们!”金先生也诚挚地向姜为民主任表达了自己的感激和敬意。王女士紧紧拉住前来探望的张霞芬护士长的手说道:“感谢姜主任救了我老公,拯救了我们这个家庭,感谢骨科全体医护人员对我们的照顾……”
