患者杨先生在春节后返苏的高速上不慎发生车祸,事故发生后患者感觉颈部剧烈疼痛,无法活动。当天送至我院后,在急诊拍摄颈椎CT显示:第一颈椎骨折,移位明显。

在仔细研究了患者的片子后,发现寰椎前后弓四处骨折,双侧侧块漂浮,寰齿间隙增大,后弓的骨折块还陷入到椎管内。尽管没有造成颈髓损伤,但稍有移动就可能导致瘫痪甚至死亡,因此姜主任确定该患者的最佳治疗方案为寰枢椎内固定手术。
该患者的治疗关键在于两个方面:一是能否将螺钉置入漂浮的寰椎侧块中从而达到骨折的复位及固定?二是该患者同时还伴有双侧枢椎椎弓根先天性发育不良、椎动脉高跨,能否顺利植入椎弓根螺钉?经过为期一周的颅骨牵引和术前准备,杨先生于近日接受了手术。对于此类颈椎手术,经验丰富的姜为民主任早已开展了多年,与以往不同的是这次手术多了一台“GPS”---“O”-臂机,这也是我院首次术中开机实用。
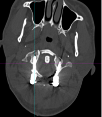
术中“O”-臂机导航图像
在麻醉手术科的配合下,有了高精尖的第二代“O”-臂机的辅助,加之姜主任丰富的临床经验,手术非常顺利。第二代“O”-臂机扫描颈椎三维重建显示寰椎移位的骨块复位完成,寰枢椎椎弓根螺钉位置良好。术后,患者颈部疼痛症状明显改善。
姜为民主任介绍,科技的进步使得以往高难度高风险的上颈椎手术逐渐成为一种安全可靠的常规手术,有了高精尖设备的武装,使医生在处理这类疾病时更加得心应手。