来自患者的感谢—— 独墅湖医护团队给了我第二次生命!
来源:李人杰 发布时间:2023-03-04 17:22:00 浏览次数:4263
  近日,苏州大学附属独墅湖医院骨科来了一位住院患者,她逢人便说:“是独墅湖医院给了我第二次生命!”
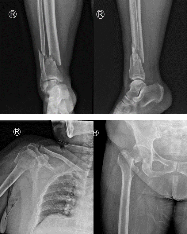
  老家安徽的陈女士在苏州工业园区已经生活了很多年,一年前不幸遭遇车祸,当时短暂昏迷,全身疼痛无法活动,右侧耳还伴有出血。送至我院急诊后,诊断为:脑挫裂伤、肺挫伤、颅骨骨折、右侧上下肢骨折、右侧多根肋骨骨折,遂将患者收住重症监护室进行抢救治疗。

骨折X线
  病情稍有稳定后,其它治疗迫在眉睫,如不能抓紧手术,严重的并发症将使患者再次陷入危险之中。骨科何罕亮副主任医师综合考虑患者情况,决定实施分期手术。第一次先行肱骨骨折切开复位内固定术 +胫腓骨骨折切开复位内固定术,第二次视患者情况择期行全髋关节置换术。
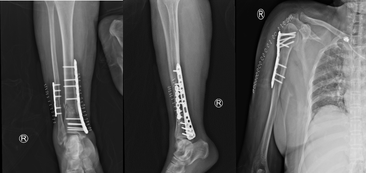
  第一次手术的关键在于速度要快!这一次手术一共需要处理两个部位、三处骨折,为了尽量减少对患者的影响,手术要求在短时间内完成。何罕亮医师团队术前仔细研究病情,术中精细操作,全部手术在3小时内顺利完成,手术中出血仅130ml,术后复查X线显示骨折对位对线良好。

第一次术后复查X线
  初次手术后3周左右,患者情况已逐渐恢复良好,何罕亮医师团队再次针对陈女士的股骨颈骨折实施了“全髋关节置换术”。全髋关节置换术是用人工关节来替换病变的髋关节,适用于65岁以上股骨颈骨折的患者。整个手术1小时即完成,手术出血不到200ml。
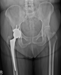
全髋关节置换术后X线
  经过术后康复治疗,陈女士恢复良好,不久后即可下床活动。出院之际,陈女士与激动地向骨科医疗团队表示,是独墅湖医院的医护团队让她重获新生,再次感谢独墅湖医院!