来自安徽铜陵的徐阿姨2年前曾经受过一次腰部外伤,当地医院诊断为第四腰椎压缩性骨折,建议她做一个微创手术。当时徐阿姨自觉腰痛症状不严重,出于各方面因素考虑拒绝了手术治疗。经过一段时间卧床休息后,腰痛症状非但没有好转,反而逐渐加重,因此她再次到医院就诊,而医生的话更是让她望而生畏。医生告诉她,现在已经失去了微创手术的机会,要“开大刀”,不仅创伤大,花费多,而且这样高难度的手术,他们也没有足够的把握。徐阿姨在犹豫不决中病情被一拖再拖,近一年来不但腰痛加重,更可怕的是她的双下肢还出现了麻木无力的症状,甚至需要坐轮椅行动了。她四处求医,得到的答复都大同小异,希望渺茫。正当徐阿姨陷入绝望之际,在苏州亲友的推荐下,了解到独墅湖医院骨科的姜为民教授擅长治疗脊柱疑难杂症,她抱着一线希望在家人的陪同下驱车5多小时来看姜主任的门诊。
姜主任在仔细询问病情、病史且完善了相关的检查后,掌握了徐阿姨的病情:当初第四腰椎(L4)椎体压缩性骨折后由于没有得到及时正确的治疗,椎体进一步压缩并且前后一分为二,后侧的椎体逐渐向后成角并脱位进入椎管,从而压迫神经,导致下肢麻木无力。要治好徐阿姨的病必须解决两个关键问题:一是解除骨块对神经的压迫和重建脊柱的稳定性。通常的手术方法是从后方将椎板切除打开椎管,再将突入椎管内的椎体切除,然后从后方牵开神经植入人工椎体,最后用钉棒将脊柱固定好。二是由于要打开椎管切除椎体,同时还要牵开神经从后方植入人工椎体,因此损伤大、出血多,且极易导致神经损伤的并发症,手术难度大、风险高,疗效不确定。
但姜主任另辟蹊径,制定了“两步走”的方案:第一次手术先进行腰椎后路“切开复位+椎弓根螺钉内固定术”,尽可能恢复椎体高度和腰椎序列,在不打开椎管的情况下将突入椎管的L4椎体间接复位;第二次手术,从侧前方OLIF微创入路行“腰椎人工椎体植入术”以重建腰椎的稳定性。由于患者长期卧床,骨质疏松严重,椎体极度压缩,手术难度与风险都很大,为此姜主任团队作了周密的准备。
L4椎体陈旧性骨折,椎体高度塌陷严重
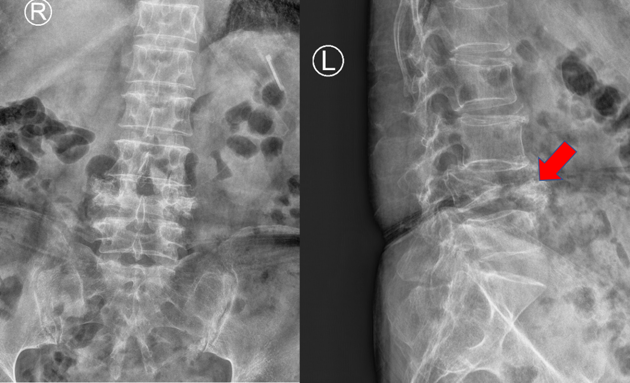
患者L4椎体几乎完全压缩,骨块已突入椎管,椎管严重狭窄
L4水平椎管狭窄明显,造成患者双下肢乏力、麻木
年前一周,患者做了第一次后路手术,在麻醉手术科的积极配合下,手术顺利完成。术后患者恢复良好,腰痛症状消失,下肢麻木症状明显减轻,术后三天已经可以佩戴腰围下地行走。春节后,徐阿姨接受了第二次手术,通过OLIF微创入路顺利植入了人工椎体,达到支撑重建的目的。这是独墅湖骨科完成的首例人工椎体置换手术,得益于术前充分的研究和准备,两次手术均十分成功,术后徐阿姨恢复很好,目前已经顺利出院。

L4椎体高度恢复,脱位情况得到极大改善

患者腰椎序列恢复满意,稳定性得以重建
苏州大学附属独墅湖医院骨科成立至今已满两年,两年来,在姜为民主任的带领下,骨科医护团队完成了一系列脊柱疑难杂症的诊治,许多省内外患者慕名前来就医。感谢疑难病症患者的信任和选择,我们一定不负所托,竭尽全力为你排忧解难。