颈椎病是现代人一种常见的疾病之一,尤其是需要长时间伏案工作的人,据统计,全国大约有将近9%的人不同程度的患有各种颈椎病,且呈现低龄化趋势。颈椎病患者常见的症状表现为颈部疼痛、四肢麻木、走路像“踩棉花一样”。
近日,苏州大学附属独墅湖医院骨科成功为一位患有高位长节段的颈椎后纵韧带骨化症患者拆除“颈部炸弹”。

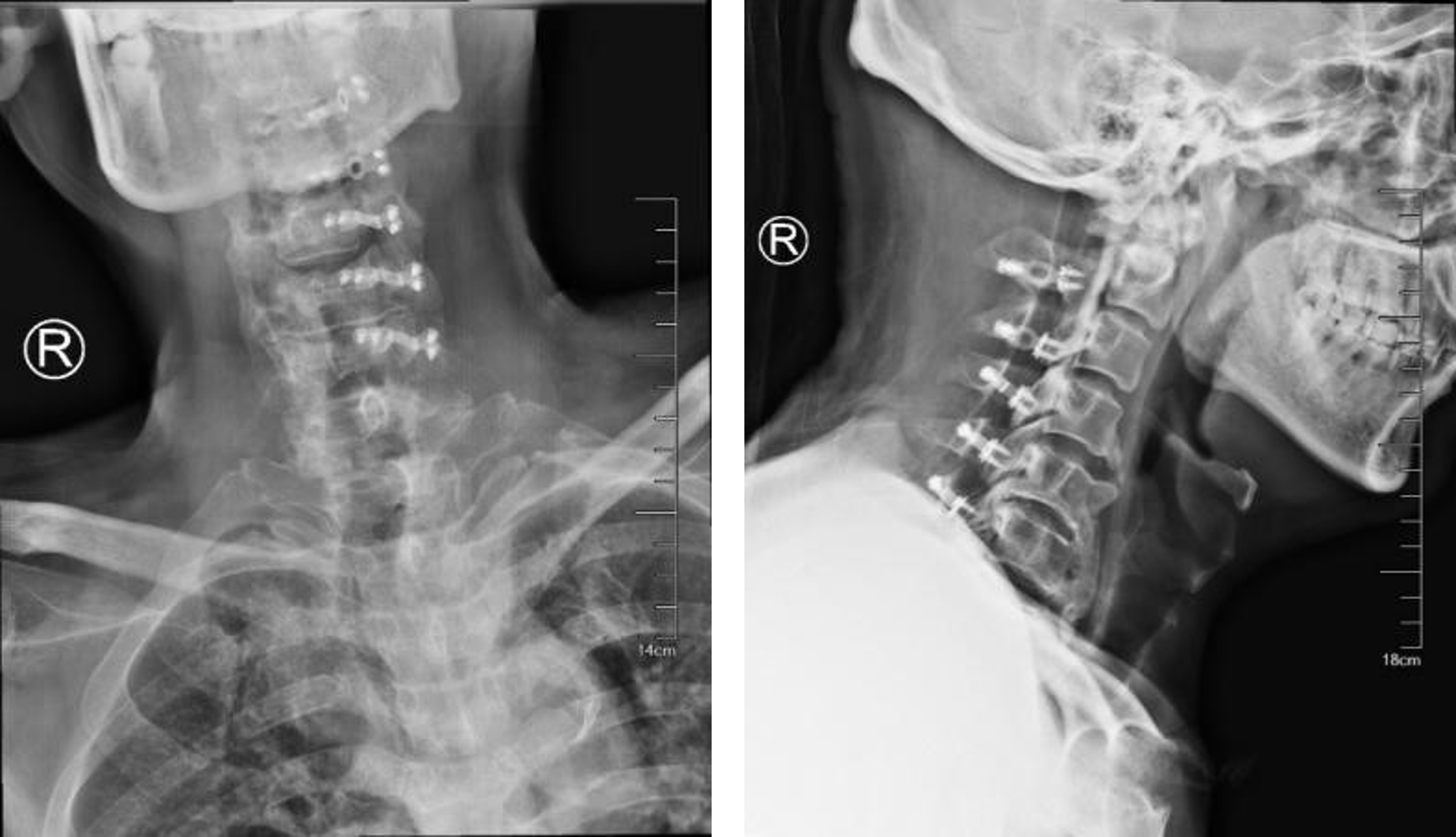
家住镇江的王先生近年来感觉自己的身体出了点问题,一开始是左脚小脚趾有点麻木,后来情况加剧,左手左脚都出现麻木的感觉,走起路来感觉像踩着棉花,这严重影响了他的生活。到当地医院一查颈椎磁共振,提示颈髓严重受压,在他的CT上看到压迫神经的主要是异常增生的骨赘(后纵韧带骨化)压迫了第1~6(下称C1~6)颈髓(第1~2颈椎由于解剖结构特别复杂,在医学上称为上颈椎)。上颈椎压迫脊髓可引起四肢麻木无力、呼吸循环功能障碍等,严重者甚至危及生命。王先生这种情况非常危险,颈髓已严重受压,就好像脖子上背了一个小炸弹,一旦他不小心摔跤,就很有可能危及生命。

王先生本就担心颈椎手术的风险,现在还涉及到上颈椎,风险更大,而不手术自己的颈椎病又将像定时炸弹一样,一直处于危险之中。就在王先生全家一筹莫展之际,听闻苏州有一位姜医生医术精湛,已帮助了许多患者解决了颈椎疾病,于是他们从家乡驱车百里,前往骨科姜为民主任的门诊就诊。姜为民主任在仔细研读过影像资料后,结合王先生的症状体征,当即决定出手为他解决病痛。入院经详细检查后发现王先生同时还患有胸椎管狭窄的问题,但当务之急是治疗高位长节段颈椎后纵韧带骨化症。
目前针对多节段的颈椎管狭窄的最佳方案是颈椎后路单开门椎管扩大成形术,也就是我们俗称的“单开门”手术。这种手术现已在临床上广泛应用于C3~7。

而王先生后纵韧带骨化症从C1持续到C6,如何处理C1~2水平的压迫是个难点。由于C1~2解剖上的特点,对这一区域进行手术面临几大难题:一是周围有椎动脉走行,且椎动脉就在手术区域内,稍有不慎就可损伤椎动脉导致难以控制的出血。二是第一及第二颈椎解剖机构特殊,手术易损伤颈髓,会导致掌管呼吸的肌肉瘫痪,危及生命。
所以在C1~2处手术,无异于在刀尖上起舞。在与家属充分沟通后,我院骨科决定行颈1后弓切除+椎后路单开门椎管扩大成形术(C2~6),这种方案巧妙地避开了增生的骨赘,在颈椎后方“开一道门”,减少了切除骨赘而可能导致的神经损伤,给受压的神经释放出足够的空间。姜为民主任亲自上阵,王喜安副主任医师及团队成员紧密配合,一切按计划有序进行。
经过三个多小时的精细操作,手术顺利地完成了。术后第一天,王先生高兴地说:“我很明显地感觉到自己的手脚轻松了,就好像有什么压着的东西被去掉了,来苏州开刀真是选对了!”而后在骨科护士长张霞芬护理团队的精心护理下,老人家恢复得很快,术后一周就顺利出院了。

姜为民主任表示:“上颈椎由于解剖机构复杂,过去被视为手术禁区,一直是脊柱外科领域的一座险峰,我科现已完成十余例包括上颈椎骨折、畸形、脱位、狭窄在内的手术,患者均获得了满意的疗效。尽管上颈椎技术是我科的强项,但每一例上颈椎手术仍然是一场大的挑战,手术医生必须有如临深渊,如履薄冰的敬畏之心!”