同患颈椎病,姐妹结伴做微创
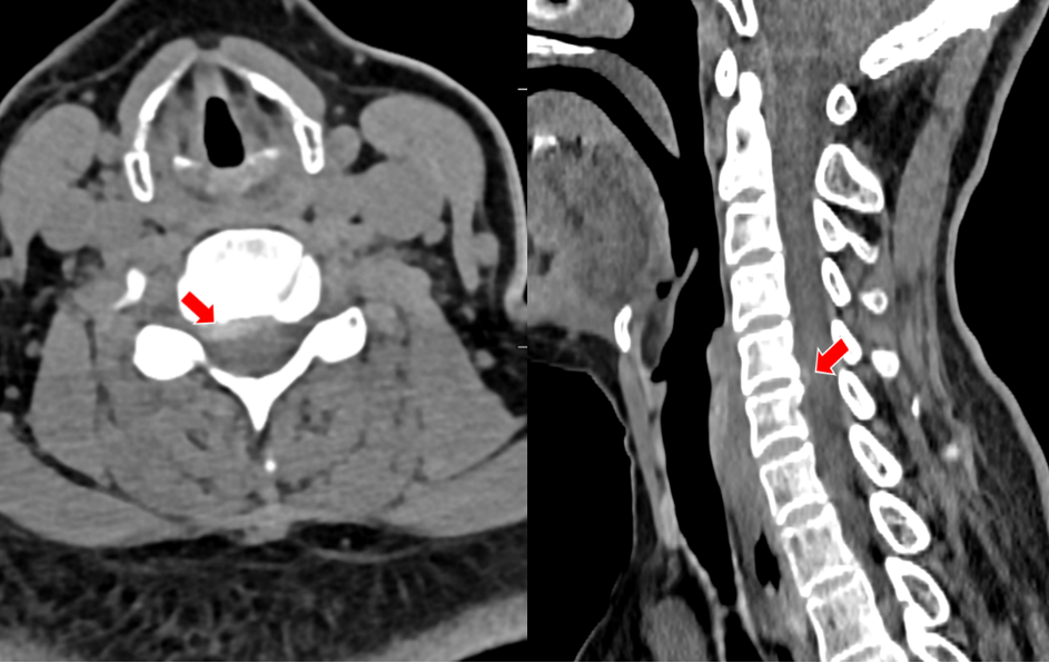
沈阿姨今年58岁,原本正是准备享受生活的年纪,但在今年5月,困扰了她长达4年的颈肩痛明显加重了。短短一周时间,沈阿姨的右上肢就出现了麻木感,吃药、理疗完全无法缓解,症状发展很快,于是立刻来我院骨科就诊。颈椎CT上可以清晰看到,她C4-5的椎间盘明显向右后方突出,椎间隙后缘骨赘增生,导致神经根受压。
(颈椎CT提示患者C5-6的椎间盘突出棒骨性狭窄)
意识到问题的严重,沈阿姨要求尽快手术治疗,于是在入院后的第二天,姜主任为她进行了颈椎前路椎间盘切除+椎间融合术(ACDF术)。手术起到了“精准减压”的效果,通过颈部一个3cm左右的横行小切口,准确到达病灶所在位置,解除神经根压迫,术后她颈肩痛的症状立刻得到了缓解,可谓“术到病除”。
(颈椎CT提示患者C4-5的椎间盘突出(右后方),椎间隙后缘骨赘增生)
在沈阿姨术后第三天,其表姐王阿姨也在她的推荐下来住院了。王阿姨的症状和沈阿姨几乎一样,在住院的前1个月,她右上肢的疼痛感突然加剧,病变的节段是C5-6,看到表妹的手术效果如此显著,她决定也来做手术。
(C5-6 ACDF术,患者手术疗效确切)
姐妹俩均在术后第5天顺利出院了。独墅湖医院骨科通过微创的颈椎手术,帮她们解决了困扰多年的颈肩疼痛,她们对于医院的医疗服务都感到非常满意。拒绝拖延,姐弟结伴做手术
无独有偶,我院骨科还为一对姐弟完成了一组颈椎后路手术。姐弟俩吕艳、吕飞(化名)均患有“颈椎后纵韧带骨化症”。弟弟吕飞今年40岁,是位企业白领。别看他年龄不大,其实已多年饱受颈椎病之苦。由于长期伏案工作,这些年他常常感觉自己四肢乏力,走路像踩在棉花上一般,像系纽扣、写字这样的活动也逐渐无法完成,这让他很是着急。通过亲友介绍,他找到姜为民主任寻求帮助,姜主任在仔细的查体和阅片后,判断吕飞的颈椎后纵韧带骨化节段多,症状重,应当尽早手术,解除对脊髓的压迫。
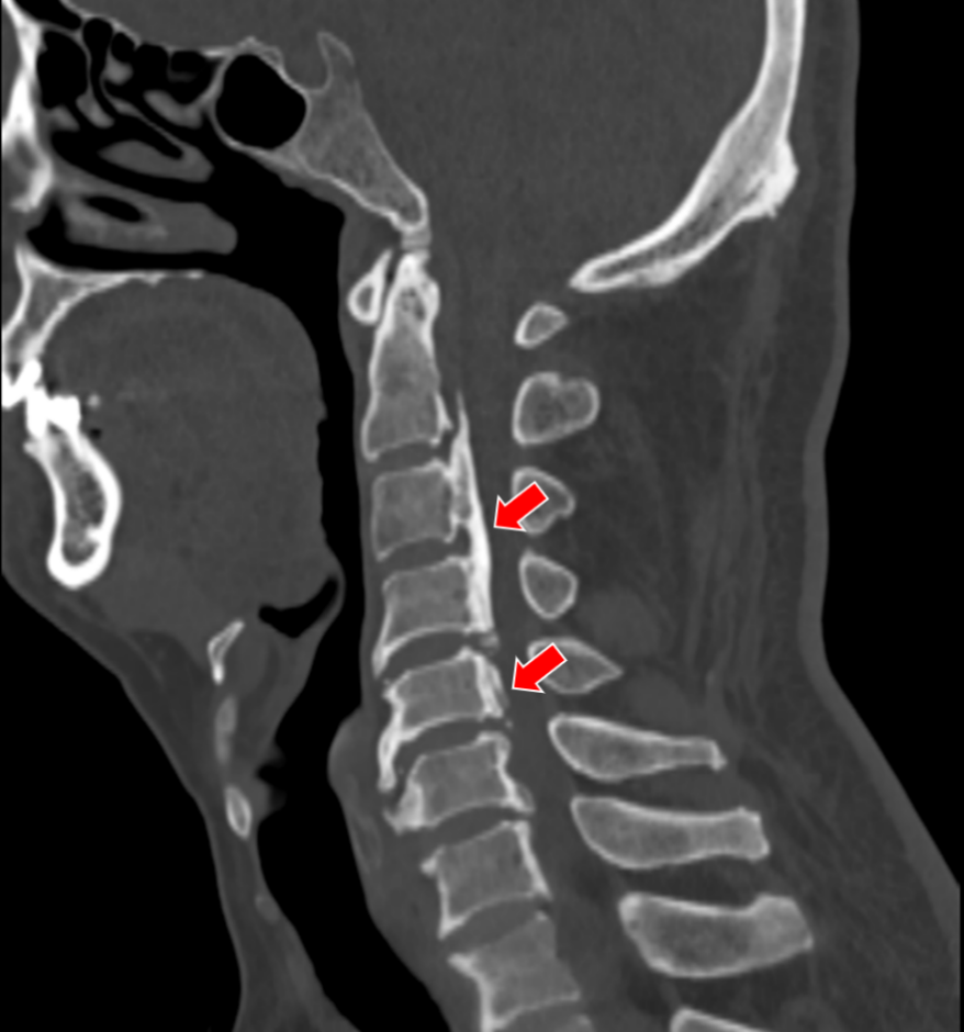
(颈椎CT提示患者C3-6椎体后纵韧带骨化明显,椎管狭窄显著)
吕飞采纳了姜主任的建议,办理了住院,接受了“颈椎后路椎管扩大成形术”,就是脊柱外科医生俗称的“单开门”手术。该术式可以在扩大颈椎椎管空间,解除脊髓压迫的同时,最大程度地保留患者颈椎的活动度,避免术后颈部僵硬的情况发生。术后,吕飞的症状有了显著的改善,术后一周便顺利出院了,对此他感到非常开心。
(颈椎术后X片:C3-6椎管扩大成形术后)
就在吕飞出院的当天,另一位症状相似的脊髓型颈椎病患者吕艳也来办理了住院手续。原来她是吕飞的亲姐姐,今年46岁。姐弟俩的症状和影像学表现都几乎相同,可见颈椎后纵韧带骨化确有一定的家族遗传倾向。吕艳告诉我们,他们姐弟这些年看过不少医生,都建议尽早手术,但因为听说颈椎手术风险极高,所以一直都选择“拖字诀”处理。这次吕飞的手术效果,给了她极大的信心和勇气,她毫不犹豫地也选择来做手术。
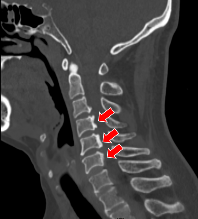
(姐姐的颈椎CT显示她的颈椎椎体同样存在明显的后纵韧带骨化,与弟弟不同的是,她的韧带骨化程度更严重)
手术圆满完成,在术后,吕艳每天都和弟弟交流疾病恢复情况。姜主任的精湛技术让姐弟两人敬佩不已,医护团队无微不至的照顾也温暖着他们的心。姐弟俩通过这次手术经历切身体会到应当理性看待疾病,只要找到值得信赖的医生,做手术并没有那么可怕。

(吕姐的接受的手术与吕弟一样,C3~6椎管扩大成形术。)
同病父子,独墅湖微创技术解决二人痛苦
张老爷子今年84岁高龄了,家住盐城建湖。之前老人家身子骨一直硬朗,吃得好,睡得香,直到近年腰腿痛再次发作,如今已经发展到了几乎寸步难行的程度。说起来,这位老爷子算是姜主任的“老熟人”了,二十多年前他就曾因“腰椎间盘突出症”在苏州接受过姜主任的手术,术后恢复良好。但近几年,随着年龄增长,老爷子的腰椎疾患又犯了,且加重很快。这次在他两个儿子的陪同下,特地从外地赶来独墅湖医院,希望姜主任能给他解决病痛。姜主任仔细检查后发现:老先生腰椎退变严重,患的是一种名叫“腰椎管狭窄症”的疾病。表现为“腰腿痛”和“间歇性跛行”的症状,需要做彻底的“椎管扩大减压+椎弓根螺钉内固定+椎间融合术”。刚讨论完老先生的病情,患者的小儿子说:“给我哥看看吧,他也挂了您的号,是颈椎病,可能也要手术。”姜主任分析过病情后确认患者得了一种称为“后纵韧带骨化症”的颈椎病,几年前就已确诊,因为害怕手术不成功会导致瘫痪,一直拖到现在,已经严重到难以独立行走。这次下定决心与老父亲一起来苏州接受手术。由于床位紧张,老先生首先住进医院接受了手术。手术很顺利,术后仅仅两天,他已经可以下床活动,双下肢症状明显缓解。
(腰椎MRI提示L2-5椎间盘突出,椎管狭窄明显)
(术后复查腰椎X片:此次对患者进行了L2-5的椎管扩大减压+神经根松解+椎弓根螺钉固定+椎间融合术)
(术后第二天,老人家在护士的搀扶下下床活动,症状缓解明显)

(姜主任鼓励老人家进行术后康复锻炼,患者和家属对手术效果非常满意)
就在张老爷子术后没几天,他的儿子张先生也住院了,父子俩被特意安排住在同一间病房。84岁老父亲第二次手术的成功给了张先生极大的鼓舞与信心,多年来对手术的恐惧感也减轻了不少。就在父亲术后第八天,张先生也接受了颈椎后路椎管扩大成形术。
(颈椎CT显示张先生C2-6椎体后纵韧带广泛骨化,椎管狭窄明显)
(颈椎MRI提示C2-6椎管狭窄,脊髓受压严重)
术后第一天,他就感觉自己四肢麻木明显缓解,效果可谓立竿见影,这让他喜出望外,坦言早该积极接受治疗。俗话说久病成良医,张先生这些年来对颈椎病的研究可没少下功夫,他知道这种病拖得越久,越不利于康复。他告诉姜主任,等他出院后,一定现身说法,告诉其他病友:得了颈椎病该手术的,一定不要犹豫不决,免得耽误了治疗的最佳时机。
(患者术后四肢活动明显轻松,侃侃而谈)
(父子俩在出院前合影留念)
患者选择推荐自己的家人一起接受手术,是对一家医院、一个科室,一位医生的充分肯定和信任。只有对自身的手术效果和就医经历感到十分的满意,才会愿意介绍至亲前来就诊。在不到三个月的时间,独墅湖医院骨科有三对亲人结伴来做脊柱手术,成功的手术成就了一个个幸福健康的家庭。相信在将来,会有更多类似的“家人局”手术出现,我们也定会再接再厉,做好医疗护理服务,不辜负广大患者的信任。