2月末,苏州市独墅湖医院(苏州大学附属独墅湖医院)呼吸与危重症医学科蒋军红主任和曾大雄副主任接到市内某三甲医院抢救室医师的求助电话,有一名气道内占位患者需要转至呼吸科进一步治疗。
70岁的吴先生近2个月出现胸闷、气喘症状,最近几天轻微活动就有症状加重,乏力、纳差明显,一般情况不佳。外院胸部CT可见气管、右主支气管内软组织影,右上肺不张。患者既往有肾恶性肿瘤病史,伴全身多处转移,因此考虑到气道内软组织为肾癌转移所致。该患者先在上海就诊,后辗转昆山、苏州市内等多家三甲医院,均未解决气道阻塞的问题。由于当时疫情严重,呼吸科作为高风险专科,苏州地区所有医院的普通气管镜诊疗活动全部暂停。

术前CT可见气管下端及右主支气管新生物阻塞管腔
蒋主任和曾主任迅速对患者进行了新冠感染风险的规范化排查,以及详细了解病人的病情后,当机立断,决定当晚就将患者转至我科详细评估。两位主任联系了内科总值班,共同商议为病人开放绿色通道,立即收入住院部。在病人到达病房之前,病区的值班医生及护士已为患者准备好吸氧、心电监护等设施,随时应对病情变化。虽然患者病情尚稳定,但病灶累及气管和右主支气管,呼吸功能已受到严重影响,另外肿瘤细胞生长迅速,胸闷气喘症状会进一步加重且无法通过药物手段缓解,需要尽快安排气管镜下的肿瘤摘除介入手术。因此,蒋主任计划第二天为吴先生安排急诊气管镜手术。

气管镜下见气管、右主支气管新生物 术后气道恢复通畅
疫情期间,各手术相关科室都暂停工作,但得知有急诊手术后,麻醉科和手术室的医务人员随即进行手术准备:全身麻醉、气管插管、呼吸机辅助通气……为手术的安全进行保驾护航。
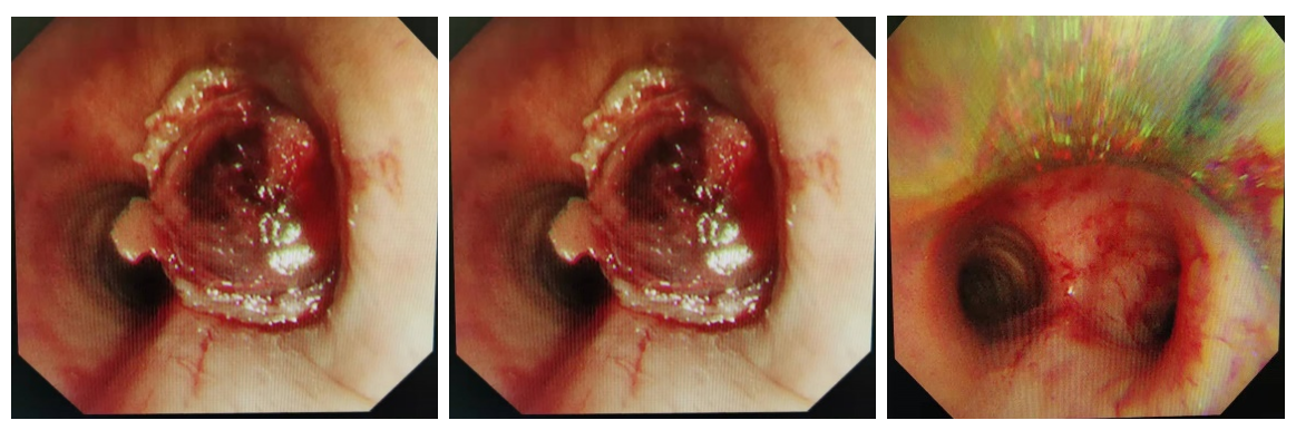
次日,吴先生已在手术室内完成全麻。术中,呼吸科、麻醉科和手术室医护互相配合,在硬镜下为病人进行气道内探查。硬镜下可见气管下段的新生物堵塞约90%的管腔,而右主支气管管腔已被完全堵塞。蒋主任团队在气管镜下对新生物进行圈套、切除,术中仅有少量出血,共取出3块新生物组织送病理检查,术后再次探查见气管、右主支气管管腔已恢复通畅。
蒋军红主任团队及呼吸科、麻醉科在手术中 成功切除三块新生物
12时52分。吴先生拔除了气管插管,复苏后安返病房。整个手术,前前后后仅花费了一个小时。吴先生感觉自己就是睡了一觉,醒来胸闷、气喘症状就得到了明显的缓解。后面吴先生经过呼吸科医护的精心治疗后,没几天就好转出院,后续再回到肿瘤科继续治疗。

术后CT见梗阻解除,气道通畅
气道梗阻为呼吸科常见的急重症,常见的梗阻原因有异物、肿瘤、炎症等。患者会出现呼吸困难、气促、胸闷等不适。若大气道梗阻,患者会出现明显的窒息感,短时间内即可出现呼吸、循环骤停,甚至危及生命。气管镜下操作可以使用异物钳、冷冻、电凝等技术解除梗阻,但同时也对操作者提出很高的操作技术和团队协作要求。此次吴先生的病例不仅体现了我院以人为本、为百姓健康服务的原则,也展现出蒋军红主任团队呼吸内镜技术的领先和成熟,以及体现出我院各科室之间的通力协作、配合无间。
我院的呼吸与危重症医学科蒋军红主任团队目前已熟练掌握呼吸内镜核心技术有EBUS-TBNA、气道内激光治疗术、氩气刀治疗术、冷冻治疗术、球囊扩张术、金属/硅酮支架植入术、硬质气管镜术、磁导航支气管镜术等。呼吸与危重症医学科团队开科至今,在“真诚、友爱、奋进”的科室精神驱动下,已为众多气道疾病患者缓解病痛、带来诊治的福音。