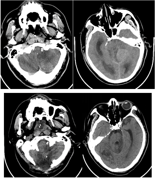
六十多岁的朱先生因“头晕19小时意识不清2小时”来到我院急诊,急诊神经科医师接诊后考虑脑血管疾病,立即行头颈部CTA+CTP检查,判断闭塞血管及梗死面积。影像科张卫国主任团体第一时间完成头颈CTA+CTP后处理,结果提示患者左侧椎动脉V1段起始处次全闭塞,右侧椎动脉V4段闭塞;基底动脉闭塞;双侧椎动脉供血区(双侧小脑、脑干、部分颞叶)缺血性灌注异常。
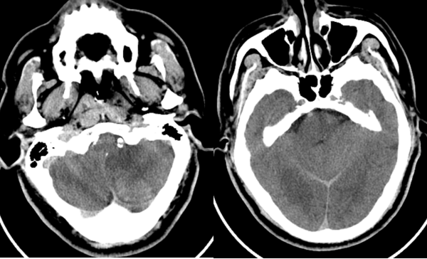
由于患者错过了4.5小时脑卒中静脉溶栓救治时间,无法溶栓治疗。郝永岗副主任带领神经血管介入团队评估病情后决定在全麻下为患者实施动脉取栓术,挽救处在缺血状态尚未坏死的脑组织。麻醉科李健主任第一时间到达导管室,保障手术顺利进行,术中可见患者基底动脉末端闭塞(基底动脉尖综合征)。医生运用SWIM技术取出黑红色血栓,复查造影显示:基底动脉远端血流通畅,双侧大脑后动脉、小脑上动脉显影。术中发现患者左侧椎动脉起始部重度狭窄,于病变处植入支架一枚,血管狭窄解除,术后送重症医学科继续治疗。



术后患者先后出现急性脑水肿、肺感染、急性肾功能不全等合并症。每一种情况可能导致患者病情恶化,甚至危及生命。高建瓴主任带领的重症医学团队对患者进行全方面评估,给患者拟定最佳治疗方案:呼吸机辅助通气、抗生素抗感染同时纤维支气管镜肺泡灌洗治疗、床旁连续性血液滤过,同时给予甘露醇、白蛋白、速尿等脱水降低颅内压等治疗。
术后第四天患者出现了严重脑水肿-脑疝形成。神经外科黄煜伦主任带领神经外科团队评估后急诊行脑室外引流装置植入术+后颅凹去骨瓣减压术。

经过多科室积极救治,患者于发病一个月后转入我院神经内科普通病房继续治疗。随后,在我院医护人员半个月的积极治疗及精心护理下,顺利转入我院康复医学科继续康复治疗。在苏敏主任及康复医学科团队的帮助下进行近半年的科学康复锻炼,患者目前基本恢复自理能力。


科普
基底动脉尖综合征,是脑梗死的一种特殊类型,血管闭塞部位一般位于以基底动脉顶端为中心2cm范围内发出的2对动脉,即大脑后动脉和小脑上动脉与基底动脉末端交叉部位,可引起不同程度的意识障碍,死亡率高达50%。
急性脑梗死是神经科急症,其发病率高、致死率高、致残率高。目前国内外最先进的治疗方案为静脉溶栓、动脉取栓。静脉溶栓治疗时间窗4.5小时以内,但对于大血管闭塞患者静脉溶栓对血管再通效果较差,而介入手术动脉取栓血管再通率可达90%。急性脑梗死患者的最佳血管内取栓开通时间窗为6-8小时以内,相当一部分患者在多模式CT评估证实存在较大缺血半暗带的情况下,开通时间窗可放宽至24小时甚至24小时以上,时间越早,患者越能受益,否则会遗留严重残疾甚至危及患者生命。
因此,在有效时间窗内开通闭塞的血管是治疗成功的关键。建议在发病(如突发言语不清、一侧肢体无力、活动不利甚至昏迷)后第一时间内将患者送至有条件进行静脉溶栓、动脉取栓的医院。家属需充分认识到脑血管病的危害,加强对新技术的认识,才能让更多的患者受益。
我院急诊神经科常规开展静脉溶栓治疗,急诊脑血管动脉取栓团队能够24小时随时到位,麻醉科、导管室、重症医学科、神经外科、康复科等多学科紧密协作,为实现第一时间血管再通提供了可靠有力的医疗保障,为脑卒中患者生命健康保驾护航。