今年11月,苏州市独墅湖医院(苏州大学附属独墅湖医院)心血管内科周亚峰教授团队在OCT(光学相干断层扫描技术)指导下应用冠状动脉旋磨技术,成功为一位严重钙化、多支病变的53岁女性患者完成血运重建。
53岁的林女士常感觉活动后胸闷、胸痛,1个月前在当地医院诊断为冠心病,经冠脉造影检查可见冠脉三支病变且伴有严重钙化。当地医生没有尝试介入治疗,建议患者行冠脉搭桥手术。患者及家属考虑到搭桥手术需要开胸,创伤大,思虑再三拒绝了外科手术。转至我院后,找到了周亚峰副院长,周亚峰副院长所带领的介入团队研读冠脉造影影像,制定了血运重建策略:分两步介入。即先为钙化相对较轻的RCA(右冠)及LCX(左旋支)两根血管行介入治疗后,再针对造影所示钙化非常重的LAD(左前降支)行OCT检查,必要时行旋磨治疗。
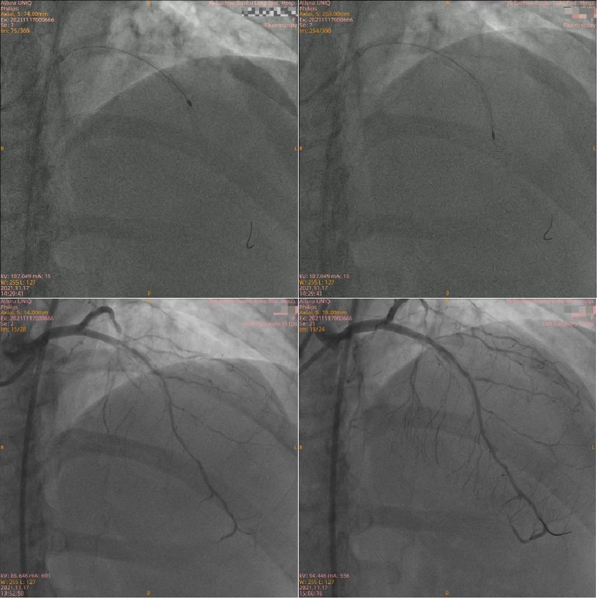
首次介入手术为第二次介入手术做好血运代偿准备。患者的LCX、RCA血管钙化相对LAD较轻,团队通过国内首个上市的国产切割球囊系统切割钙化病变后让支架顺利植入,这也是该切割球囊系统在江苏省首例应用!

二次介入手术中,团队应用OCT检查血管,血管腔内的结构一览无余。可见LAD管腔内钙化角度大(270°-360°)、钙化非常厚(>1mm)、钙化弥漫(>20mm),钙化评分达到最高分值(CVI:4分),团队决定首选旋磨治疗。LAD应用1.25mm、1.5mm旋磨头以160000转/分的速率高速旋磨,重度狭窄的LAD最终被开通。严重狭窄的血管恢复了畅通,术后林女士胸闷、胸痛症状感到明显好转。
钙化病变是冠脉介入治疗中较为棘手的类型,容易造成介入手术失败。血管钙化通俗来说如同血管壁布满了石头,而环状钙化更是钙化中的“王者”,如同“紧箍咒”一般紧紧束缚着血管。单纯应用球囊高压扩张“硬碰硬”的效果不理想,大概率导致扩张失败,甚至引起球囊破裂、血管夹层、破裂。而植入支架也面临支架难以通过、支架脱载、支架膨胀不全、贴壁不良等介入并发症。在此风险重重的情况下,旋磨技术则如同血管里的“盾构机”一样,应用呈橄榄型的带有钻石颗粒旋磨头,以16万转/分的速度对病变进行高速旋磨,消除软性、纤维化及钙化的所有形态学斑块,形成一个光滑的内腔通道,让支架流畅植入。
冠脉内高速旋磨听起来似乎非常“暴力”,但实际上患者并无明显不适症状。我院心内科冠脉介入团队现已常态化开展冠状动脉旋磨技术。