“感谢独墅湖医院,感谢你们……”激动的话语在重症医学科门口回荡,患者小马(化名)紧握我院重症医学科高建瓴主任双手,激动之情溢于言表。
时间回溯到8月18日下午,苏州市独墅湖医院(苏州大学附属独墅湖医院)接到兄弟医院紧急求助电话,一位年轻男性患者生命垂危,希望能转到我院重症医学科进一步救治。初步了解病情后,重症医学科团队迅速响应,立即行动,在做好接收病人准备的同时,联系相关科室,高效建立危重患者救治绿色通道。
傍晚,120救护车急促的鸣笛声划破暮色,患者抵达医院,急诊评估生命体征不稳,深昏迷,无自主呼吸,情况十分紧急!我院重症医学科团队立即携带转运呼吸机赶至抢救室,在急诊科的配合下护送患者进行CT检查并安全转运到三楼重症医学科病房。
患者到达病房后,重症医学科团队立刻展开抢救,完善检查,并向患者家属详细了解病史。通过患者父亲得知:两天前,一向身体强健的小马突然晕厥,伴有全身抽搐、口吐白沫,被送到当地医院治疗。因为小马正处于肺结核治疗期,又是以癫痫发作起病,当地医院怀疑是结核性脑膜炎,但还没等到明确病因,小马的病情迅速恶化,神志逐渐昏迷,甚至丧失自主呼吸,危急关头转到我院。
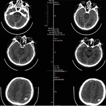
此时,入院检查结果也陆续回报。CT显示颅内多发出血点、肺部感染、肝脏密度减低,血检结果提示肝肾功能衰竭、高血氨、横纹肌溶解、心功能不全、凝血功能障碍、电解质紊乱,但脑脊液相关结果并不支持颅内感染。综合患者的临床表现、实验室检查及影像,以脏器功能衰竭、凝血功能障碍、微血管病变为主要特征。考虑到小马有野外工作史,因此怀疑有流行性出血热的可能,经过标本检测,结果回报阴性,进而排除这一可能。小马近期一直在接受抗结核药物治疗,转而考虑药物中毒的可能性。但治疗期间小马一直定期复查肝肾功能,不久前的结果还提示正常,而此次发病后肝功能迅速恶化,甚至达到了爆发性肝衰竭的诊断标准,并伴有横纹肌溶解,很有可能涉及其他更多的因素。随后医生再次详细地向家属了解情况,得知小马在发病前2天曾大量食用网上购买的生蚝,结合发病的表现和检查的结果,考虑食物中毒的可能性极大。

(头颅CT提示颅内弥漫性多发性出血)
(患者入院时的部分检验结果)
诊断相对明确后,医护团队立即为小马制定了以床旁持续血液净化为基础的综合治疗方案。在重症医学科团队的全力救治下,小马的病情逐渐好转,慢慢恢复了意识,并在第7天清醒了过来。治疗过程中,重症医学科团队联合我院肾内科团队和康复医学科团队开展MDT多学科会诊,全面评估患者肾功能状态,帮助患者从床旁血液净化过渡到定期门诊血透,并对患者实施早期康复功能锻炼。卧床将近半月的小马,在医护团队的精心照料下,从只能在病床上勉强坐起到现在已经能自行下床行走。听到小马一天天好转的消息,日夜守护在病房外的小马父亲也松了一口气。目前,小马的肝功能已经恢复正常,脑出血完全吸收,肾功能也在逐步恢复,成功从重症医学科转至肾内科病房进行下一阶段治疗。
(患者接受床边持续血液净化治疗)
(肝功能指标逐渐降至正常)
(早期活动及康复)
出重症医学科后,小马一家人为重症医学科的全体医护人员送来了锦旗,对医护人员表示感谢。感受着患者及家属的肯定与信任,我院重症医学科自觉肩负救死扶伤的使命,为百姓提供更优质的医疗服务,始终将患者的生命健康置于首位,作为独墅湖医院的一员持续发光发热,贡献自己的力量。
(患者及家属向重症医学科赠送锦旗)