“小通道”取尽“大结石”——我院泌尿外科第五代EMS为复杂性肾结石患者保驾护航
来源:繆志俊 发布时间:2021-09-26 09:12:01 浏览次数:6096

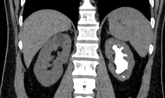
  近日,我院泌尿外科浦金贤主任和周守军主任医师团队完成一例肾脏铸型结石经皮肾超声碎石手术,该名患者因“发现左肾结石2年,左侧腰痛3周”入院,诊断为左肾结石,其结石大小约6.8cm*3.8cm,为巨大完全鹿角形结石。结石不仅充满整个左侧肾盂、肾盏,更有部分向输尿管上段延伸。


  为了早日彻底解决患者体内巨大结石,泌尿外科主任浦金贤教授和周守军主任医师积极进行术前讨论。考虑患者病程长,结石体积大且为鹿角形,负荷重,常规输尿管镜及输尿管软镜手术效率低,需分多次手术处理。在充分考虑手术风险、医疗安全性及患者经济负担后,决定为患者施行经皮肾超声碎石取石术。


  术前,超声定位见结石充满肾盂、肾盏,肾脏几乎无积水,这对经皮肾穿刺通道的建立带来了很大的挑战,导丝极易滑脱或者穿透对侧肾实质,进而造成操作通道的丢失及肾脏大出血等严重并发症。

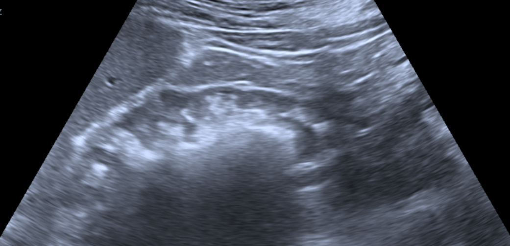
  术中,周守军主任医师选择肾脏中盏背侧后组为穿刺路径,超声实时引导下,精准穿刺至目标肾盏,整个穿刺过程一气呵成,通过F20单通道配合第五代EMS(瑞士EMS超声弹道碎石系统)一次性完成超声碎石取石手术,术后复查无明显结石残留。通过此次手术,医生借由一个大小仅7mm的切口,就彻底清除了左侧肾内6.8cm大的结石,解除了困扰患者2年多的烦恼,患者对手术结果表示非常满意。

  

  术后,在刘雪护士长团队的精心护理下,患者术后5天拔除造瘘管,1周顺利出院。

  科普小知识

  泌尿系结石是泌尿外科常见病及多发病,我国是世界三大结石高发区之一,我国的泌尿系结石整体发病率为1-5%,而在南方高达5-10%,且近年来发病率有逐年上升趋势。结石不仅会引起剧烈的肾绞痛,更会导致肾积水,引起肾功能的损害,给病人和家属造成健康和经济上的沉重负担。据统计,我国1/17的成年人患有肾结石。巨大肾结石,尤其是复杂性肾结石,因其体积大、负荷高,肾脏内分布广泛,处理复杂棘手,给病人带来极大的苦恼。

  那么何为复杂性肾结石?

  复杂性肾结石又称鹿角形肾结石、铸型肾结石,是指位于肾盂并且分支进入全部或者部分集合系统的肾结石,其中占位全部集合系统的成为完全性鹿角形结石,其余为部分性鹿角形结石。通俗的来说,把肾脏比作一座房子,这种类型的肾结石,把房子中间的客厅(肾盂)及周围的走廊(盏颈口)和各个房间(肾盏)都占据了,肾脏的分泌排泄功能受到极大影响,如拖延不治极易造成肾功能的严重损害,甚至导致患者肾功能的丧失。

  复杂性肾结石的处理难度很大,目前仍是泌尿外科结石的手术难题。经皮肾镜取石术(PCNL)通过大小不同的经皮肾通道进行腔内碎石取石,创伤小、手术效率高、结石清除率高,目前是处理上尿路大负荷结石的一线治疗方案。目前根据清石工具的不同可分为经皮肾激光碎石取石术、经皮肾超声碎石取石术和经皮肾气压弹道碎石取石术。此外,经尿道输尿管软镜手术也是复杂性上尿路结石处理的可选方法之一,是对经皮肾镜取石术(PCNL)的有效补充。

  目前,我院泌尿外科在浦金贤主任的带领下,已开展经皮肾镜、输尿管软镜手术,双镜联合手术,腹腔镜联合输尿管软镜手术等微创手术,科室拥有先进的医疗设备,如多尼尔体外碎石机、奥利巴斯电子输尿管软镜、Storz电子输尿管镜和经皮肾镜、第五代EMS、一次性输尿管软镜、3D腹腔镜等等,可对复杂性肾结石进行全程管理,同时进行全方位、多方法治疗,目前已达省内领先水平。