近日,我院泌尿外科浦金贤主任团队在与麻醉手术科合作下,成功为一名左肾巨大肿瘤患者实施经后腹膜腹腔镜左肾根治术切除术。这一手术的成功实施标志着我院泌尿外科此类手术已达到国内领先水平。
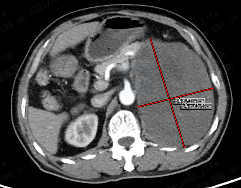
该名81岁患者近期异常消瘦,自觉左侧腹部隆起,于外院就诊,查CT提示左肾出现十余公分肿瘤。经多方咨询后到我院泌尿外科浦金贤主任门诊就诊。浦主任详细了解患者病情后,发现肿瘤位于肾脏腹侧,与胰腺及脾脏紧邻,上极达肾上腺区域,下极达骨盆入口区域,直径有15cm。

浦金贤主任考虑,可实施的手术方式有传统的开放手术、经腹腔途径的微创手术、经后腹膜途径的微创手术。对比这三种手术,传统开放手术切口大、视野暴露困难、术中出血多、术后恢复慢。经腹腔途径手术空间大、解剖结构清晰,但对腹腔脏器干扰大,术后胃肠功能恢复慢。相比之下,经腹膜后途径手术有以下几个优势:一是对腹腔脏器干扰小,术后胃肠功能恢复快;二是在腹膜外操作,最终结果无论是肿瘤还是感染,都只局限于后腹腔;三是手术时侧卧位体位更方便处理肾蒂血管,减少出血,加快康复。然而,该患者肿瘤巨大,经后腹腔途径手术空间狭小、暴露困难,对主刀医生的手术技巧要求极高。
为了获得最佳疗效,最大程度地保障患者安全,我院党委书记、院长、泌尿外科专家侯建全亲自参与术前讨论,麻醉手术科李健主任团队也全程加入其中。讨论过后,泌尿外科浦金贤主任、周守军主任医师、沈罡副主任医师等为患者制定了经后腹膜腹腔镜左肾根治性切除术的治疗方案。
手术前,泌尿外科团队积极准备,完善手术方案。手术中,浦金贤主任凭借高超的技术,敏锐的思路,娴熟精准的操作,仅用时90分钟便将肿瘤完整取出,术中未输血。术后,在肾内科刘雪护士长带领的护理团队的精心护理下,患者恢复良好,已顺利出院。术后病理报告显示为左肾周高分化脂肪肉瘤。

(标本一)

(标本二)
浦金贤主任表示,该名患者手术的成功,标志着我院泌尿外科团队在治疗巨大肾肿瘤外科领域迈上新台阶。自苏州市独墅湖医院(苏州大学附属独墅湖医院)启动以来,我院泌尿外科已成功开展了多例高难度微创手术,包括腹腔镜局部晚期前列腺癌根治术、腹腔镜复杂肾部分切除术、腹腔镜巨大肾肿瘤根治性切除术、腹腔镜肾上腺嗜铬细胞瘤切除术,在腹腔镜的应用上积累了丰富的手术经验。未来,我院泌尿外科团队将继续深化腹腔镜技术的应用,扩大手术范围,为地区泌尿外科系统疾病患者提供更优质的诊疗服务。