患者何某因“乙肝”“肝硬化”每年都进行规律体检,而今年的增强CT报告却显示“肝脏上有一个约2厘米的占位”,血液指标甲胎蛋白上升了141.00ng/mL,结合过往病史,考虑原发性肝癌。患者来到苏州市独墅湖医院(苏州大学附属独墅湖医院)介入与血管外科,找到了程龙副主任医师。程医生根据患者的情况,建议其行肝脏病灶微波消融治疗。因为微波消融不仅创伤小,而且针对早期肿瘤能够达到根治效果。
程医生建议患者在消融术前先行肝动脉化疗栓塞,一方面可以通过栓塞肿瘤靶向血管达到杀灭肿瘤目的,另一方面碘油沉积后可以达到精准穿刺、消融完全的效果。近日,程医生在局麻下给患者做了微波消融术,微波消融针精准穿刺后,完全消融肿瘤。术后患者无明显不适,术后第2天已经可以下床活动,术后第3天患者即出院。
出院1个月后,患者门诊复查MRI见肝脏病灶活性消失,肿瘤已经被消除干净,术后甲胎蛋白也下降至正常水平,已经达到临床根治疗效。患者十分开心,对程医生及独墅湖医院介入与血管外科为他消除了病痛表达了感谢。

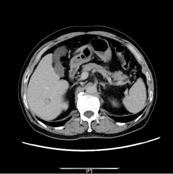
(体检CT见肝S2段见类圆形低密度影)
(消融前见肝脏病灶内碘油沉积良好)

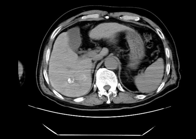
(根据碘油沉积范围精准穿刺完全消融病灶)
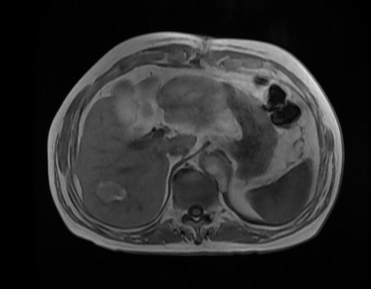
(术后1个月复查MRI见肝脏病灶无活性)
医学科普:
微波消融是治疗肿瘤的超微创方式,是在CT或超声等影像设备引导下将消融针穿刺入病灶,通过消融针端升温的热效应达到杀死肿瘤的目的。手术本身安全性高、可重复性高且直接作用于肿瘤、疗效快,对病人来说具有创伤小、恢复快、耐受程度高等优点。针对肺、肝脏、甲状腺等早期肿瘤能达到根治效果,对于延长晚期恶性肿瘤患者生存期,提高患者生存质量同样具有重大意义。