常规体检难发现 防“癌”还需这步检查!
来源:卢颖 王南 发布时间:2021-07-30 15:10:20 浏览次数:5831

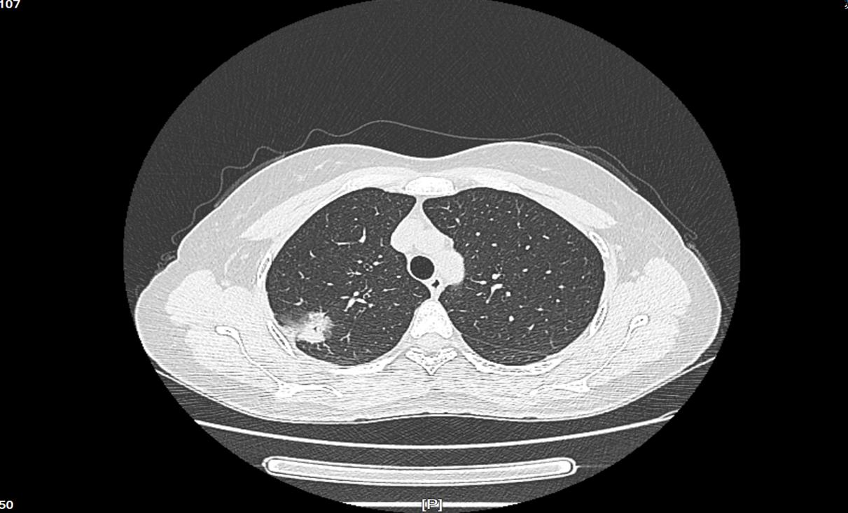
  43岁的张女士,每年参加公司常规体检,包括胸部X光摄片等项目,均无任何异常。今年,张女士至我院健康管理中心进行年度体检,其中包括查胸部高分辨平扫CT这一检查项目。7月7日张女士的胸部CT报告为:右肺上叶尖段见一团块状磨玻璃实性混合密度结节,边缘不光整,大小约22mm*25mm,考虑为早期肺癌可能。

 

  健康管理中心总检团队随即按健康体检重要异常结果筛查流程上报体检中心总审医生毛燕青副主任医师,同时电话通知张女士。毛主任立即联系放射科张卫国主任、胸心大血管外科马海涛主任等专家开展多学科会诊。会诊考虑肺恶性肿瘤,安排患者尽早入院接受手术治疗。

 

  当天下午,毛主任联系张女士来院,当面与专家团队沟通诊疗意见。7月12日,收住入院,完善相应术前检查排除手术禁忌后,7月13日由胸外科马海涛主任医师团队行胸腔镜微创手术治疗,术中快速病理显示为浸润性腺癌,遂行胸腔镜下右上肺叶切除术和淋巴结清扫术。手术过程顺利。

 

  张女士术后病理显示为直径2cm浸润性腺癌,无淋巴结转移和胸膜累及。属于早期肺癌(Ia期),及时进行手术干预效果,可达到90%左右的治愈率。

  张女士术后恢复良好,一周后康复出院。同时,张女士及家属对我院一体化的诊疗模式及效率表示赞扬,并赠送锦旗以示感谢。此次诊疗过程,大大节省了体检者从发现问题到解决问题的时间,由单纯健康体检向健康管理模式的转变,提升了健康管理的品质和内涵。

 

  随着经济发展以及生活水平的提高,健康管理日益受到大众的关注,其中对恶性肿瘤早期筛查更成为健康管理中的重中之重。苏州市独墅湖医院(苏州大学附属独墅湖医院)健康管理中心自今年六月启用以来,在院领导的带领下,毛燕青副主任的指导下,本中心秉持着“以人为本、以质量为核心、以高效为目标”的理念,努力在疾病的三级预防中实现“早发现、早诊断、早治疗”的要求,为群众健康保驾护航。