高端技术精准定位 顺利切除高级别胶质瘤
来源:荣孝慈 郑琦 发布时间:2021-07-30 15:05:26 浏览次数:5179

  近2周来,53岁的杜阿姨出现间断性头痛。虽然还未到达不可忍受的程度,但是杜阿姨在休息后并没有感到症状缓解,于是来到独墅湖医院神经外科就诊。经过头颅CT的检查后,发现左侧颞叶占位伴水肿。我院神经外科黄煜伦教授团队和麻醉手术科李健教授团队在杂交手术室中,运用术中核磁技术为杜阿姨精确诊断,最终诊断为高级别胶质瘤。而且杜阿姨所患的胶质瘤长在了大脑的语言功能区,此类高级别胶质瘤预后往往不佳,既往最大程度地切除语言功能区病变时往往会造成术后言语功能障碍,这就要求神经外科医生在保留功能的前提下尽可能地全切肿瘤组织。

  黄煜伦教授团队通过综合运用术中核磁、术中唤醒、术中电生理监测、神经导航及荧光显像等多种技术手段精准切除了胶质瘤。术后患者神志清楚,言语流利,四肢活动正常,目前正在接受后续治疗。

 

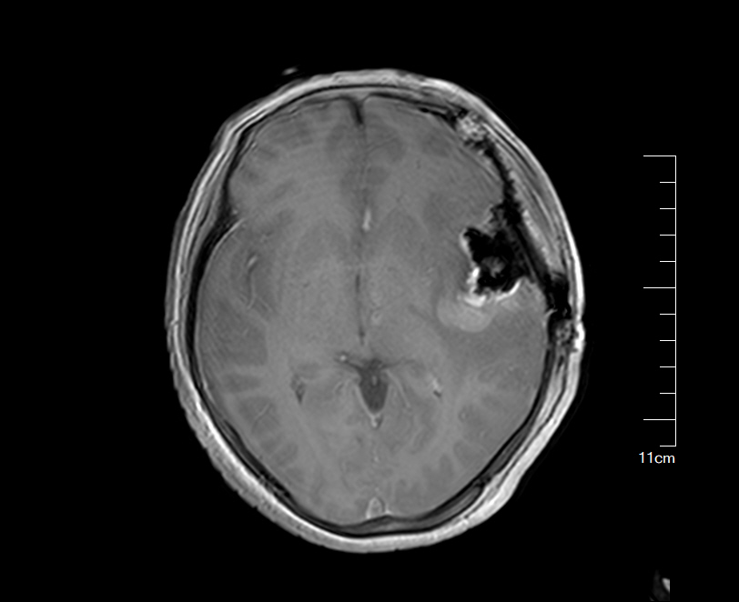
术中MRI提示瘤腔前内侧(额叶)残留肿瘤组织

  近年来,术中核磁、术中电生理监测、神经导航技术、术中唤醒、皮质电刺激等技术的发展为保护患者神经功能提供了技术支持。如果单纯依靠神经影像技术进行功能区胶质瘤的切除存在有一定风险,术中容易出现影像漂移、功能区定位不准(个体化差异)等缺点,电信号相对于影像学技术更准确,它是脑功能的直接证据,唤醒麻醉结合术中直接电刺激语言功能区定位技术是目前脑功能定位的金标准。通过综合运用以上技术可实现在保护语言、肢体等功能的同时精确进行胶质瘤的最大化切除。

 

残留肿瘤组织切除完全

  苏州市独墅湖医院的脑胶质瘤MDT(多学科综合治疗协作组)已启动,每周三下午由神经外科黄煜伦教授带头,综合放疗科、影像科、病理科、康复科等多学科专家一起为胶质瘤患者出谋划策。