微创治胃癌 小创伤收获大疗效 ---我院成功开展首例腹腔镜下全胃切除术
来源:沈思嘉 发布时间:2021-07-16 16:58:57 浏览次数:5382

  近日,苏州市独墅湖医院(苏州大学附属独墅湖医院)接诊了一例胃病患者。68岁的尤先生平日里身体一直很好,一周前出现呕血黑便,来我院消化外科行胃镜检查后,提示胃体多发溃疡病变伴出血,病理提示高级别上皮内瘤变。

  我院普外科李德春主任、张逸副主任诊断后认为患者属于早期胃癌,在输血、营养支持治疗后准备进行手术治疗,结合国内外指南规范决定行腹腔镜辅助根治性全胃切除术。

 

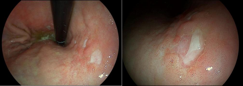
  (注:胃体大弯及小弯侧见多发浅凹陷性溃疡,表面薄白苔,周围黏膜水肿明显)

 

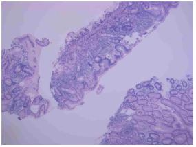
(注:肠化伴高级别上皮内瘤变)

  此次手术的要求十分严谨,从手术暴露到助手间配合,每一步误差都会耽误手术进程,特别是淋巴结清扫,稍有不慎都有可能导致手术失败。本次手术耗时三个多小时,仅在腹壁留下4个小切口以及一个约5厘米长的取标本切口。术后患者恢复良好,第二天即可下床活动,早期予以鼻饲供给营养液,术后八天顺利出院。

  胃癌筛查小贴士:

  胃肠道肿瘤的早期诊断和早期治疗是提高治疗效果、改善预后的最重要因素。对于以下人群,建议进行癌症筛查:

  1、胃癌筛查目标人群:年龄>40岁,且符合以下任意一条:①胃癌高发地区人群;②幽门螺杆菌感染;③既往有慢性萎缩性胃炎、胃溃疡、胃息肉、手术后残胃、肥厚性胃炎、恶性贫血等胃的癌前疾病;④胃癌患者一级亲属;⑤存在胃癌其他风险因素:如摄入高盐、腌制饮食、吸烟、重度饮酒等)。

  2、结直肠癌的高危人群:年龄50~75岁,且符合以下任意一条:①粪便潜血试验阳性;②既往有腺瘤性息肉、炎症性肠病等癌前疾病;③有结直肠癌家族史。

  3、出现消化道症状者:腹痛、便血、黑便、消瘦、腹泻、腹部肿块、排便习惯改变等。

  微创手术小介绍:

  微创手术目前是国内外胃癌外科治疗的发展趋势,尤其是早、中期胃癌的腹腔镜手术,疗效受到肯定,具有创伤小、术中出血少、术后疼痛轻、恢复快等优点。全胃切除术在手术分类中属于四类手术,是胃肠外科最大的手术之一,手术难度系数高,解剖层面复杂,需具备良好的开腹手术基础及腹腔镜基础。