反复咯血二年余 介入栓塞得根治
来源:程龙 发布时间:2021-07-14 10:23:44 浏览次数:4304

  近期,我院介入与血管外科为一位反复咯血伴肺部感染的患者成功开展选择性动脉栓塞术,治愈了患者两年多来的咯血症状。

  30岁的陈先生是一位反复咯血伴肺部感染的患者,曾经因病辗转于苏州、上海等多家三甲医院,也在上海某三甲医院接受过支气管动脉栓塞术,但术后仍有间断咯血,症状无法缓解。

  患者后慕名来到独墅湖医院。呼吸与危重症医学科蒋军红主任针对患者肺部感染进行痰培养,考虑患者因为咯血后反复肺部感染致铜绿假单胞菌定植,在行抗感染治疗后若患者咯血症状得不到缓解,肺部感染问题则依旧难以解决,于是联系介入与血管外科参与会诊,探讨将患者的肺部止血问题。

  介入与血管外科程龙副主任医师根据患者在前期院外做的增强CT影像资料分析,考虑到患者可能存在肺部的血管畸形,且既往栓塞并末完全,于是建议患者再次行血管造影加栓塞术。患者因近年来周转于各大医院无法治愈而心存疑虑,程龙副主任医师根据患者实际情况,通过积极与患者沟通,消除了他的顾虑。

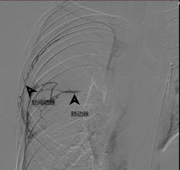
  近日,在介入与血管外科张喜成主任医师指导下,程龙副主任医师及顾铖涛医师在DSA下造影找到了病变出血的原因——原来患者存在肋间动脉、支气管动脉肺动脉瘘。于是决定为患者行选择性动脉栓塞术。术中,如下图所示,医生用头发丝样的微导管超选择供血血管,尽可能避开对正常血管的影响后,用栓塞微球将瘘口堵塞住进行精准栓塞,整个手术约1个小时,术后复查咯血症状消失。在医护人员的精心照料下,术后10天,患者顺利康复出院。