惊心动魄!苏州市独墅湖医院上演“生死时速”——八次电除颤成功挽救心梗病人生命
来源:马金玉 发布时间:2021-05-18 21:51:00 浏览次数:5162

  4月27日下午约14时左右,64岁的沈先生左侧胸口突感疼痛,没多久便一身冷汗,因胸口疼痛情况持续不缓解,沈先生被送到苏州市独墅湖医院(苏州大学附属独墅湖医院)急诊就诊。心血管内科董瑞庆医生接到会诊电话即刻赶往急诊抢救室,结合心电图结果,高度怀疑沈先生发生了急性心肌梗死。董医生立即组织现场医护人员启动急诊绿色通道,及时将沈先生转运至导管室,并第一时间向周亚峰副院长和心血管内科张强主任汇报了情况。

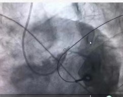
  周亚峰副院长和张强主任接到消息,判断病人情况危重,急需手术治疗,立即至导管室进行各项术前准备,严阵以待。然而,刚抵达导管室门口沈先生就突发室速室颤、意识丧失、抽搐和呼吸停顿,随行医务人员立刻就地抢救,边进行心肺复苏边将沈先生转移至手术台上。手术过程中沈先生仍有室速室颤反复发作的情况,共进行8次紧急电除颤(见图1),术中导丝通过冠脉导管迅速送至冠脉血管,发现前降支近主干段完全闭塞(见图2),回旋支开口至近段狭窄50%,右冠开口狭窄约80%,周亚峰副院长以最快速度开通“罪犯血管”,于前降支近段植入支架一枚(见图34)。经过一个多小时的抢救和手术,患者胸痛症状明显减轻,手术取得圆满成功。

  术后患者生命体征稳定,在医护人员悉心照护下送至病房予以监护治疗。经过几天的休养,患者病情平稳,于511日接受了二次手术治疗,植入支架一枚,解决了右侧冠状动脉的病变问题。患者在院期间积极配合医护人员的治疗,病情恢复顺利,已于几日前康复出院(图5)。

图1患者室速发作时的心电图

 

     图2 前降支近主干段完全闭塞           图3 前降支近段植入支架一枚,开通血管

4 周亚峰副院长在手术中

图5 出院时患者及家属与医务人员合影

  周亚峰副院长带领医院心血管内科团队已常规开展包括冠心病的介入诊疗技术、各类心律失常的射频消融治疗、各类起搏器植入术,以及房缺、室缺、动脉导管未闭等先天性心脏病的介入手术共计300余台。

此次面对突发病患,我院心血管内科、急诊医学科、导管室医护人员反应迅速、判断精准、抢救及时,凭借丰富的抢救经验和高超的医术从死神手中为患者抢回一条生命,挽救了一个家庭。充分体现了我院医护人员面对突发事件时沉着冷静、果断处置的应急处理能力,展现了医院各科室部门之间高度团结下的协调合作能力。

  一袭白衣、一顶燕帽,每位医护人员不仅是守护生命的纯洁天使,更是与疾病搏斗的勇敢战士。生命不能重复,但拯救生命的伟大事业一定会被发扬传承。独墅湖医院心血管内科团队,愿全心全意为“心”护航!


  心血管疾病科普时间

  数据显示,我国每年发生急性心肌梗死的患者约100万人。由于现代人饮食、生活、运动习惯不佳,心血管疾病有逐渐年轻化的趋势,“三高”(如高血压、高血脂、高血糖)会悄无声息地提早找上门,一旦忽视前期症状或延误诊治,罹患心血管疾病的风险会显著增加,随时可能致命。那么我们在日常生活中如何早期准确识别急性心肌梗死并进行自我救护?

  1、心肌梗死可由情绪激动、寒冷、饱食等诱发,临床表现多有剧烈而持久的胸闷或胸痛,部位多位于胸骨中下段后、剑突下或心前区,有压榨感或濒死感,范围约手掌大小,可伴有左侧肩背部放射痛,喉咙紧缩感。

  2、典型心肌缺血症状为爬楼、跑步等活动后发生心绞痛,休息3-5分钟可缓解,如心绞痛持续不缓解,则有发生急性心梗的可能。还需警惕一些不典型心肌缺血症状如牙痛、腹痛等。

  3、有出冷汗、面色苍白、恶心呕吐、头晕甚至黑矇晕厥等症状。

如果出现上述症状,请第一时间拨打120急救电话,医护人员将争分夺秒开通闭塞血管,拯救心肌、挽救生命。